"ALL YOU NEED IS LOVE."
Beatles
With
Love
Welcome to my digital sanctuary, a quiet corner of the internet where I share the musings, reflections, and moments from my personal journey.
Consider this blog as my private notebook, where I write down thoughts, experiences, and discoveries that resonate with me. It's a space where I explore the depths of my soul, ponder life's mysteries, and document the beauty of everyday moments.
Join me as I navigate the labyrinth of life, penning down the whispers of my heart and weaving the threads of my story into this digital tapestry.
"Words can be said in bitterness and anger, and often there's seems to be an element of truth in the nastiness; and words do not go away, they just echo around..."
Dr. Jane Goodall
START READING
POSTED ON MARCH 2026

Why we see
the same world,
differently.
THE JOURNEY
IS THE DESTINATION
SUPERMAN WAS A JOURNALIST
SUPERMAN WAS A JOURNALIST
THE JOURNEY IS THE DESTINATION
Beyond our Retinae.
rather than
"is not the journey, is the destination".
Not a Designer, as far as I remember.
Not a Designer, as far as I remember.
rather than "is not the journey,
is the destination".
One Reality,
Many Languages.
Something that I've
always felt deep inside me,
in every aspect of my life.
Let's talk a bit about
the Designer.
Let's talk a bit about
the Designer.
Something that I'vealways felt deep inside me, in every aspect of my life.
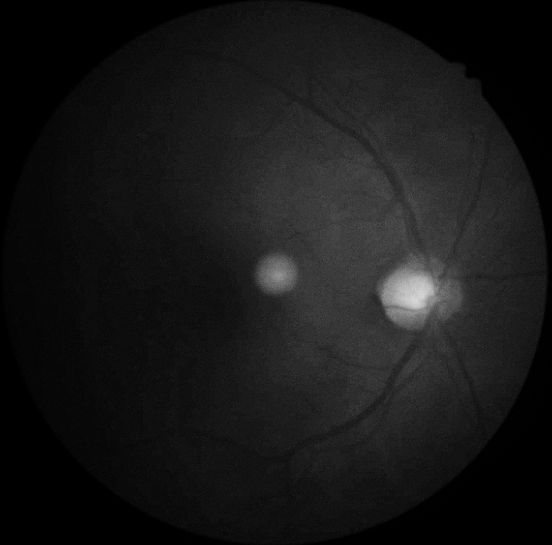
The image abpve isn’t a distant nebula or an abstract painting. It is, quite literally, the back of my eye. This retinal photograph, taken during a routine exam, shows the physical gateway through which light enters my world. But while we all share the same biological "hardware," the "software" our brains use to process that light is what sets us apart.
Even when we stare at the exact same sunset or the same city street, our internal translators are speaking different languages:
The Creatives see in Images and Metaphors. To them, a rainy street isn’t just infrastructure; it’s a mood, a palette of reflections, and a story waiting to be told. They feel the world before they define it.
The Mathematicians see Structures and Ratios. Where most see chaos, they spot patterns, symmetries, and fractals. Their world is governed by the invisible, elegant laws of $e^{i\pi} + 1 = 0$—a logic that brings order to the noise.
The Business Minds see Numbers and Potential. A vacant lot isn't just grass; it’s an opportunity cost, a series of variables, or a strategic asset to be optimized.
Stop Asking for the Impossible
Conflict often arises when we try to force others to look through our specific lens. We get frustrated when an artist isn't "pragmatic enough," or when a data analyst lacks "poetic vision."
It is fascinating to consider that some people live with Aphantasia (the inability to visualize mental images at all), while others possess Hyperphantasia, seeing the world in cinematic mental detail. When these two extremes collaborate without understanding their differences, they aren't just disagreeing—they are literally experiencing two different realities.
Empathy as a Lens
The goal shouldn't be to change how others see, but to respect the unique "filter" they provide. We shouldn't demand a mathematician describe the "soul" of the color green if they prefer to explain the frequency of its light wave. Both perspectives are required for a complete picture of reality.
Understanding that the person next to you isn't being "difficult" or "blind"—but is simply running a different mental operating system—is the first step toward true collaboration.
We all have the hardware to see, but it’s the mystery behind the retina that makes our worlds unique.
When you’re working on a design project, it’s easy to get fixated on the end result—the final product, the pixel-perfect website, or the app that works seamlessly. And don’t get me wrong, those things matter. But if you focus only on the end, you miss out on the magic that happens along the way. The experimentation, the "aha" moments, and even the mistakes—they’re all part of the process.
Take a web design project, for example. You start with a rough idea, a couple of sketches, and maybe a vague sense of where it’s going. As you iterate, test, and tweak, the design evolves in ways you couldn’t have predicted at the start. That journey—full of trial and error, problem-solving, and moments of inspiration—is where growth happens. Each step informs the next, and suddenly, the destination becomes a lot less important than the process of getting there.
This idea extends beyond design. In life, we often set big goals: career milestones, buying a home, or even personal growth targets. It’s tempting to think that happiness or fulfillment will come once we’ve ticked that box. But in reality, the joy (and sometimes the challenge) is in the journey itself—learning, adapting, and appreciating the small wins along the way. Life rarely goes as planned, and that’s okay. The unexpected detours are often where the best stories are born.
So, whether you’re working on your latest design project or just trying to navigate the twists and turns of life, remember to enjoy the ride. The journey isn’t just a path to the destination; it is the destination.
I will conclude this with food for thought. Look at it from this perspective: your life is the journey, and when your life is done, that's the destination.
What matters most to you as an individual—the time you live or the moment when you no longer do?
Live long and prosper!
As a designer with a desire to move to Europe, I find myself facing a dilemma. With dual citizenship in Romania and New Zealand, I am torn between the advantages and disadvantages of each. While my New Zealand citizenship is often viewed more favorably globally, the distance from Europe poses challenges in securing a job. On the other hand, my Romanian citizenship grants me easier access to opportunities within the European Union, yet Romania's perception within the EU job market presents obstacles. Struggling to decide which path to take, I am left wondering: What should I do?...
As a designer with a desire to move to Europe, I find myself facing a dilemma. With dual citizenship in Romania and New Zealand, I am torn between the advantages and disadvantages of each. While my New Zealand citizenship is often viewed more favorably globally, the distance from Europe poses challenges in securing a job. On the other hand, my Romanian citizenship grants me easier access to opportunities within the European Union, yet Romania's perception within the EU job market presents obstacles. Struggling to decide which path to take, I am left wondering: What should I do?...
When you’re working on a design project, it’s easy to get fixated on the end result—the final product, the pixel-perfect website, or the app that works seamlessly. And don’t get me wrong, those things matter. But if you focus only on the end, you miss out on the magic that happens along the way. The experimentation, the "aha" moments, and even the mistakes—they’re all part of the process.
Take a web design project, for example. You start with a rough idea, a couple of sketches, and maybe a vague sense of where it’s going. As you iterate, test, and tweak, the design evolves in ways you couldn’t have predicted at the start. That journey—full of trial and error, problem-solving, and moments of inspiration—is where growth happens. Each step informs the next, and suddenly, the destination becomes a lot less important than the process of getting there.
This idea extends beyond design. In life, we often set big goals: career milestones, buying a home, or even personal growth targets. It’s tempting to think that happiness or fulfillment will come once we’ve ticked that box. But in reality, the joy (and sometimes the challenge) is in the journey itself—learning, adapting, and appreciating the small wins along the way. Life rarely goes as planned, and that’s okay. The unexpected detours are often where the best stories are born.
So, whether you’re working on your latest design project or just trying to navigate the twists and turns of life, remember to enjoy the ride. The journey isn’t just a path to the destination; it is the destination.
I will conclude this with food for thought. Look at it from this perspective: your life is the journey, and when your life is done, that's the destination.
What matters most to you as an individual—the time you live or the moment when you no longer do?
Live long and prosper!
POSTED ON MARCH 2025
The Journey is
the Destination
THE JOURNEY
IS THE DESTINATION
SUPERMAN WAS A JOURNALIST
SUPERMAN WAS A JOURNALIST
THE JOURNEY IS THE DESTINATION
rather than "is not the journey, is the destination".
rather than
"is not the journey, is the destination".
Not a Designer, as far as I remember.
Not a Designer, as far as I remember.
rather than "is not the journey,
is the destination".
Something that I've
always felt deep inside me,
in every aspect of my life.
Something that I've
always felt deep inside me,
in every aspect of my life.
Let's talk a bit about
the Designer.
Let's talk a bit about
the Designer.
Something that I'vealways felt deep inside me, in every aspect of my life.
When you’re working on a design project, it’s easy to get fixated on the end result—the final product, the pixel-perfect website, or the app that works seamlessly. And don’t get me wrong, those things matter. But if you focus only on the end, you miss out on the magic that happens along the way. The experimentation, the "aha" moments, and even the mistakes—they’re all part of the process.
Take a web design project, for example. You start with a rough idea, a couple of sketches, and maybe a vague sense of where it’s going. As you iterate, test, and tweak, the design evolves in ways you couldn’t have predicted at the start. That journey—full of trial and error, problem-solving, and moments of inspiration—is where growth happens. Each step informs the next, and suddenly, the destination becomes a lot less important than the process of getting there.
This idea extends beyond design. In life, we often set big goals: career milestones, buying a home, or even personal growth targets. It’s tempting to think that happiness or fulfillment will come once we’ve ticked that box. But in reality, the joy (and sometimes the challenge) is in the journey itself—learning, adapting, and appreciating the small wins along the way. Life rarely goes as planned, and that’s okay. The unexpected detours are often where the best stories are born.
So, whether you’re working on your latest design project or just trying to navigate the twists and turns of life, remember to enjoy the ride. The journey isn’t just a path to the destination; it is the destination.
I will conclude this with food for thought. Look at it from this perspective: your life is the journey, and when your life is done, that's the destination.
What matters most to you as an individual—the time you live or the moment when you no longer do?
Live long and prosper!
When you’re working on a design project, it’s easy to get fixated on the end result—the final product, the pixel-perfect website, or the app that works seamlessly. And don’t get me wrong, those things matter. But if you focus only on the end, you miss out on the magic that happens along the way. The experimentation, the "aha" moments, and even the mistakes—they’re all part of the process.
Take a web design project, for example. You start with a rough idea, a couple of sketches, and maybe a vague sense of where it’s going. As you iterate, test, and tweak, the design evolves in ways you couldn’t have predicted at the start. That journey—full of trial and error, problem-solving, and moments of inspiration—is where growth happens. Each step informs the next, and suddenly, the destination becomes a lot less important than the process of getting there.
This idea extends beyond design. In life, we often set big goals: career milestones, buying a home, or even personal growth targets. It’s tempting to think that happiness or fulfillment will come once we’ve ticked that box. But in reality, the joy (and sometimes the challenge) is in the journey itself—learning, adapting, and appreciating the small wins along the way. Life rarely goes as planned, and that’s okay. The unexpected detours are often where the best stories are born.
So, whether you’re working on your latest design project or just trying to navigate the twists and turns of life, remember to enjoy the ride. The journey isn’t just a path to the destination; it is the destination.
I will conclude this with food for thought. Look at it from this perspective: your life is the journey, and when your life is done, that's the destination.
What matters most to you as an individual—the time you live or the moment when you no longer do?
Live long and prosper!
As a designer with a desire to move to Europe, I find myself facing a dilemma. With dual citizenship in Romania and New Zealand, I am torn between the advantages and disadvantages of each. While my New Zealand citizenship is often viewed more favorably globally, the distance from Europe poses challenges in securing a job. On the other hand, my Romanian citizenship grants me easier access to opportunities within the European Union, yet Romania's perception within the EU job market presents obstacles. Struggling to decide which path to take, I am left wondering: What should I do?...
As a designer with a desire to move to Europe, I find myself facing a dilemma. With dual citizenship in Romania and New Zealand, I am torn between the advantages and disadvantages of each. While my New Zealand citizenship is often viewed more favorably globally, the distance from Europe poses challenges in securing a job. On the other hand, my Romanian citizenship grants me easier access to opportunities within the European Union, yet Romania's perception within the EU job market presents obstacles. Struggling to decide which path to take, I am left wondering: What should I do?...
When you’re working on a design project, it’s easy to get fixated on the end result—the final product, the pixel-perfect website, or the app that works seamlessly. And don’t get me wrong, those things matter. But if you focus only on the end, you miss out on the magic that happens along the way. The experimentation, the "aha" moments, and even the mistakes—they’re all part of the process.
Take a web design project, for example. You start with a rough idea, a couple of sketches, and maybe a vague sense of where it’s going. As you iterate, test, and tweak, the design evolves in ways you couldn’t have predicted at the start. That journey—full of trial and error, problem-solving, and moments of inspiration—is where growth happens. Each step informs the next, and suddenly, the destination becomes a lot less important than the process of getting there.
This idea extends beyond design. In life, we often set big goals: career milestones, buying a home, or even personal growth targets. It’s tempting to think that happiness or fulfillment will come once we’ve ticked that box. But in reality, the joy (and sometimes the challenge) is in the journey itself—learning, adapting, and appreciating the small wins along the way. Life rarely goes as planned, and that’s okay. The unexpected detours are often where the best stories are born.
So, whether you’re working on your latest design project or just trying to navigate the twists and turns of life, remember to enjoy the ride. The journey isn’t just a path to the destination; it is the destination.
I will conclude this with food for thought. Look at it from this perspective: your life is the journey, and when your life is done, that's the destination.
What matters most to you as an individual—the time you live or the moment when you no longer do?
Live long and prosper!
POSTED ON MAY 2024
Superman
was a journalist
SUPERMAN WAS
A JOURNALIST
SUPERMAN WAS A JOURNALIST
SUPERMAN WAS A JOURNALIST
SUPERMAN WAS A JOURNALIST
not a Designer, as far as I remember.
Not a Designer, as far as I remember.
Not a Designer, as far as I remember.
Not a Designer, as far as I remember.
Not a Designer, as far as I remember.
Let's talk a bit about
the Designer.
Let's talk a bit about
the Designer.
Let's talk a bit about
the Designer.
Let's talk a bit about
the Designer.
Let's talk a bit about
the Designer.
Nowadays, Designers must constantly update their skills, staying abreast of new design trends, software features, and emerging programs and apps, as they pop up like mushrooms after the rain, all the time. This requires countless hours of learning, on top of their paid work, in a field where time is limited to the same 24 hours as everyone else.
That's why a designer can produce great designs easily in a relatively short period of time - not because being a designer is an easy job. Too often, the client misunderstands this and thinks that everyone can do it in 5 minutes; they just lack the time to do it.
In a job posting, they ask you to know an entire Bible's worth of different programs and skills that are actually totally different jobs, cumulating in a "graphic designer" post. It includes something like "copywriter," "content writer," "social media specialist," "marketing advisor," "video editor + video designer," "photographer," "web designer" (even "web developer"), and so on. Some of us know a little bit of the above, but this should be a bonus, not a norm... We are not SuperHumans :)
Very often, companies that hire ask a junior to have great knowledge in all Adobe Softwares (Illustrator/Photoshop/Indesign/Bridge/Lightroom/After Effects/Premiere/XD/Dreamwaver/Dimension, to name only the most known ones), not knowing that this requires a lot of experience that only comes with many years of working with all these programs on a regular basis. This is too much for a designer to be realistic because then the "Junior" would be indubitably an extremely skilled "Senior."
Moreover, people don't realize that all these jobs cumulating means a salary 10 times bigger (I am not kidding) than they are willing to pay (which is barely an intermediate Graphic Designer income). To put it simply, it's like hiring a plumber for plumbing, babysitting, housework, painting jobs, as a chauffeur (with his own limousine), and as a chef, paying him only the plumber's salary.
What contributes to this are also those "cheap logo or design" websites, based on the lack of knowledge from the client of what actually a good design means and how a bad design can impact the business. I know businesses who went there, paid for the logo (and being happy with it at the moment) only to go through a re-branding half of the year later; because something just didn't work well with that "cheap" one. The reason for this is that on those websites are very few really talented designers with proper education in design. Now imagine this situation: would you put in charge of designing the power network for your new-built house, a dodgy electrician engineer? I guess not.
I've encountered this way too many times during my career; therefore, I've decided to write it black on white in an attempt to help people understand and be more reasonable toward designers. Most of the time when you buy something, a big part of your decision is made by how the product looks or the advertising behind it. And a big part of these are a designer's efforts and creativity (and all those countless hours I've talked above) - think a little about this.
Thank you for investing your time to read this.
Nowadays, Designers must constantly update their skills, staying abreast of new design trends, software features, and emerging programs and apps, as they pop up like mushrooms after the rain, all the time. This requires countless hours of learning, on top of their paid work, in a field where time is limited to the same 24 hours as everyone else.
That's why a designer can produce great designs easily in a relatively short period of time - not because being a designer is an easy job. Too often, the client misunderstands this and thinks that everyone can do it in 5 minutes; they just lack the time to do it.
In a job posting, they ask you to know an entire Bible's worth of different programs and skills that are actually totally different jobs, cumulating in a "graphic designer" post. It includes something like "copywriter," "content writer," "social media specialist," "marketing advisor," "video editor + video designer," "photographer," "web designer" (even "web developer"), and so on. Some of us know a little bit of the above, but this should be a bonus, not a norm... We are not SuperHumans :)
Very often, companies that hire ask a junior to have great knowledge in all Adobe Softwares (Illustrator/Photoshop/Indesign/Bridge/Lightroom/After Effects/Premiere/XD/Dreamwaver/Dimension, to name only the most known ones), not knowing that this requires a lot of experience that only comes with many years of working with all these programs on a regular basis. This is too much for a designer to be realistic because then the "Junior" would be indubitably an extremely skilled "Senior."
Moreover, people don't realize that all these jobs cumulating means a salary 10 times bigger (I am not kidding) than they are willing to pay (which is barely an intermediate Graphic Designer income). To put it simply, it's like hiring a plumber for plumbing, babysitting, housework, painting jobs, as a chauffeur (with his own limousine), and as a chef, paying him only the plumber's salary.
What contributes to this are also those "cheap logo or design" websites, based on the lack of knowledge from the client of what actually a good design means and how a bad design can impact the business. I know businesses who went there, paid for the logo (and being happy with it at the moment) only to go through a re-branding half of the year later; because something just didn't work well with that "cheap" one. The reason for this is that on those websites are very few really talented designers with proper education in design. Now imagine this situation: would you put in charge of designing the power network for your new-built house, a dodgy electrician engineer? I guess not.
I've encountered this way too many times during my career; therefore, I've decided to write it black on white in an attempt to help people understand and be more reasonable toward designers. Most of the time when you buy something, a big part of your decision is made by how the product looks or the advertising behind it. And a big part of these are a designer's efforts and creativity (and all those countless hours I've talked above) - think a little about this.
Thank you for investing your time to read this.
As a designer with a desire to move to Europe, I find myself facing a dilemma. With dual citizenship in Romania and New Zealand, I am torn between the advantages and disadvantages of each. While my New Zealand citizenship is often viewed more favorably globally, the distance from Europe poses challenges in securing a job. On the other hand, my Romanian citizenship grants me easier access to opportunities within the European Union, yet Romania's perception within the EU job market presents obstacles. Struggling to decide which path to take, I am left wondering: What should I do?...
As a designer with a desire to move to Europe, I find myself facing a dilemma. With dual citizenship in Romania and New Zealand, I am torn between the advantages and disadvantages of each. While my New Zealand citizenship is often viewed more favorably globally, the distance from Europe poses challenges in securing a job. On the other hand, my Romanian citizenship grants me easier access to opportunities within the European Union, yet Romania's perception within the EU job market presents obstacles. Struggling to decide which path to take, I am left wondering: What should I do?...
As a designer with a desire to move to Europe, I find myself facing a dilemma. With dual citizenship in Romania and New Zealand, I am torn between the advantages and disadvantages of each. While my New Zealand citizenship is often viewed more favorably globally, the distance from Europe poses challenges in securing a job. On the other hand, my Romanian citizenship grants me easier access to opportunities within the European Union, yet Romania's perception within the EU job market presents obstacles. Struggling to decide which path to take, I am left wondering: What should I do?...
POSTED ON APRIL 2024
The Art of
Simplicity
THE ART OF
SIMPLICITY
❀
❀
THE ART OF
SIMPLICITY
When beauty speaks for itself.
When beauty speaks for itself.
When beauty speaks for itself.
When beauty speaks for itself.
When beauty speaks for itself.
"Simplicity is the ultimate
form of sophistication"
"Simplicity is the ultimate
form of sophistication"
"Simplicity is the ultimate form of sophistication"
"Simplicity is the ultimate form of sophistication"
"Simplicity is the ultimate form of sophistication"
Japanese minimalism is more than just a design aesthetic; it's a way of life that embraces simplicity, tranquility, and functionality. This philosophy is deeply reflected in Japanese interior design and architecture, which prioritize clean lines, open spaces, and natural materials.
At the heart of Japanese minimalism is the concept of "Ma," which refers to the dynamic emptiness or space between objects. This notion is beautifully captured in Japanese interiors, where rooms are often sparsely furnished to create a sense of openness and tranquility. Instead of cluttering spaces with unnecessary objects, Japanese design emphasizes the importance of negative space, allowing for a calm and uncluttered environment.
Another key aspect of Japanese minimalism is the use of natural materials such as wood, bamboo, and paper. These materials not only evoke a sense of warmth and connection to nature but also reflect the Japanese appreciation for craftsmanship and simplicity. In Japanese architecture, traditional techniques such as shoji screens and tatami mats are often incorporated to create flexible living spaces that blur the boundaries between indoors and outdoors.
Furthermore, Japanese minimalism embraces the concept of "Wabi-Sabi," which celebrates the beauty of imperfection and impermanence. This philosophy encourages us to appreciate the natural aging and patina of materials, as well as the transient nature of life itself. In Japanese interiors, you'll often find handmade ceramics, weathered wood, and textured surfaces that embody the essence of Wabi-Sabi.
Overall, my love for Japanese minimalism is deeply rooted in its ability to create harmonious and serene living environments that prioritize simplicity, functionality, and mindfulness. Whether it's the clean lines of a traditional tea house or the tranquil simplicity of a Zen garden, Japanese interior design and architecture continue to inspire me to embrace the beauty of simplicity in my own life. Below are some exquisite examples I found online and wanted to share here:
Japanese minimalism is more than just a design aesthetic; it's a way of life that embraces simplicity, tranquility, and functionality. This philosophy is deeply reflected in Japanese interior design and architecture, which prioritize clean lines, open spaces, and natural materials.
At the heart of Japanese minimalism is the concept of "Ma," which refers to the dynamic emptiness or space between objects. This notion is beautifully captured in Japanese interiors, where rooms are often sparsely furnished to create a sense of openness and tranquility. Instead of cluttering spaces with unnecessary objects, Japanese design emphasizes the importance of negative space, allowing for a calm and uncluttered environment.
Another key aspect of Japanese minimalism is the use of natural materials such as wood, bamboo, and paper. These materials not only evoke a sense of warmth and connection to nature but also reflect the Japanese appreciation for craftsmanship and simplicity. In Japanese architecture, traditional techniques such as shoji screens and tatami mats are often incorporated to create flexible living spaces that blur the boundaries between indoors and outdoors.
Furthermore, Japanese minimalism embraces the concept of "Wabi-Sabi," which celebrates the beauty of imperfection and impermanence. This philosophy encourages us to appreciate the natural aging and patina of materials, as well as the transient nature of life itself. In Japanese interiors, you'll often find handmade ceramics, weathered wood, and textured surfaces that embody the essence of Wabi-Sabi.
Overall, my love for Japanese minimalism is deeply rooted in its ability to create harmonious and serene living environments that prioritize simplicity, functionality, and mindfulness. Whether it's the clean lines of a traditional tea house or the tranquil simplicity of a Zen garden, Japanese interior design and architecture continue to inspire me to embrace the beauty of simplicity in my own life. Below are some exquisite examples I found online and wanted to share here:
Japanese minimalism is more than just a design aesthetic; it's a way of life that embraces simplicity, tranquility, and functionality. This philosophy is deeply reflected in Japanese interior design and architecture, which prioritize clean lines, open spaces, and natural materials.
At the heart of Japanese minimalism is the concept of "Ma," which refers to the dynamic emptiness or space between objects. This notion is beautifully captured in Japanese interiors, where rooms are often sparsely furnished to create a sense of openness and tranquility. Instead of cluttering spaces with unnecessary objects, Japanese design emphasizes the importance of negative space, allowing for a calm and uncluttered environment.
Another key aspect of Japanese minimalism is the use of natural materials such as wood, bamboo, and paper. These materials not only evoke a sense of warmth and connection to nature but also reflect the Japanese appreciation for craftsmanship and simplicity. In Japanese architecture, traditional techniques such as shoji screens and tatami mats are often incorporated to create flexible living spaces that blur the boundaries between indoors and outdoors.
Furthermore, Japanese minimalism embraces the concept of "Wabi-Sabi," which celebrates the beauty of imperfection and impermanence. This philosophy encourages us to appreciate the natural aging and patina of materials, as well as the transient nature of life itself. In Japanese interiors, you'll often find handmade ceramics, weathered wood, and textured surfaces that embody the essence of Wabi-Sabi.
Overall, my love for Japanese minimalism is deeply rooted in its ability to create harmonious and serene living environments that prioritize simplicity, functionality, and mindfulness. Whether it's the clean lines of a traditional tea house or the tranquil simplicity of a Zen garden, Japanese interior design and architecture continue to inspire me to embrace the beauty of simplicity in my own life. Below are some exquisite examples I found online and wanted to share here:
Japanese minimalism is more than just a design aesthetic; it's a way of life that embraces simplicity, tranquility, and functionality. This philosophy is deeply reflected in Japanese interior design and architecture, which prioritize clean lines, open spaces, and natural materials.
At the heart of Japanese minimalism is the concept of "Ma," which refers to the dynamic emptiness or space between objects. This notion is beautifully captured in Japanese interiors, where rooms are often sparsely furnished to create a sense of openness and tranquility. Instead of cluttering spaces with unnecessary objects, Japanese design emphasizes the importance of negative space, allowing for a calm and uncluttered environment.
Another key aspect of Japanese minimalism is the use of natural materials such as wood, bamboo, and paper. These materials not only evoke a sense of warmth and connection to nature but also reflect the Japanese appreciation for craftsmanship and simplicity. In Japanese architecture, traditional techniques such as shoji screens and tatami mats are often incorporated to create flexible living spaces that blur the boundaries between indoors and outdoors.
Furthermore, Japanese minimalism embraces the concept of "Wabi-Sabi," which celebrates the beauty of imperfection and impermanence. This philosophy encourages us to appreciate the natural aging and patina of materials, as well as the transient nature of life itself. In Japanese interiors, you'll often find handmade ceramics, weathered wood, and textured surfaces that embody the essence of Wabi-Sabi.
Overall, my love for Japanese minimalism is deeply rooted in its ability to create harmonious and serene living environments that prioritize simplicity, functionality, and mindfulness. Whether it's the clean lines of a traditional tea house or the tranquil simplicity of a Zen garden, Japanese interior design and architecture continue to inspire me to embrace the beauty of simplicity in my own life. Below are some exquisite examples I found online and wanted to share here:
Japanese minimalism is more than just a design aesthetic; it's a way of life that embraces simplicity, tranquility, and functionality. This philosophy is deeply reflected in Japanese interior design and architecture, which prioritize clean lines, open spaces, and natural materials.
At the heart of Japanese minimalism is the concept of "Ma," which refers to the dynamic emptiness or space between objects. This notion is beautifully captured in Japanese interiors, where rooms are often sparsely furnished to create a sense of openness and tranquility. Instead of cluttering spaces with unnecessary objects, Japanese design emphasizes the importance of negative space, allowing for a calm and uncluttered environment.
Another key aspect of Japanese minimalism is the use of natural materials such as wood, bamboo, and paper. These materials not only evoke a sense of warmth and connection to nature but also reflect the Japanese appreciation for craftsmanship and simplicity. In Japanese architecture, traditional techniques such as shoji screens and tatami mats are often incorporated to create flexible living spaces that blur the boundaries between indoors and outdoors.
Furthermore, Japanese minimalism embraces the concept of "Wabi-Sabi," which celebrates the beauty of imperfection and impermanence. This philosophy encourages us to appreciate the natural aging and patina of materials, as well as the transient nature of life itself. In Japanese interiors, you'll often find handmade ceramics, weathered wood, and textured surfaces that embody the essence of Wabi-Sabi.
Overall, my love for Japanese minimalism is deeply rooted in its ability to create harmonious and serene living environments that prioritize simplicity, functionality, and mindfulness. Whether it's the clean lines of a traditional tea house or the tranquil simplicity of a Zen garden, Japanese interior design and architecture continue to inspire me to embrace the beauty of simplicity in my own life. Below are some exquisite examples I found online and wanted to share here:
POSTED ON FEBRUARY 2024
3 Home Country
Problem
THREE
HOME COUNTRY
PROBLEM
THREE
HOME COUNTRIES
PROBLEM
THREE
HOME COUNTRIES
PROBLEM
THREE
HOME COUNTRIES
PROBLEM
That's a dilema, no doubt.
That's a dilema, no doubt.
That's a dilema, no doubt.
That's a dilema, no doubt.
That's a dilema, no doubt.
When too many options
become none.
When too many options
become none.
When too many
options
become none.
When too many
options
become none.
When too many
options
become none.
As a designer considering a move to Europe, I found myself facing a dilemma.
With dual citizenship in Romania and New Zealand, I was torn between the advantages and disadvantages of each.
While my New Zealand citizenship was often viewed more favorably globally, the distance from Europe posed challenges in securing a job.
On the other hand, my Romanian citizenship granted me easier access to opportunities within the European Union, yet Romania's perception within the EU job market presented obstacles.
Struggling to decide which path to take, I was left wondering: What should I do?...
Update.: I have decided to go back to NZ, leaving the Europe behind. For good.
As a designer considering a move to Europe, I found myself facing a dilemma. With dual citizenship in Romania and New Zealand, I was torn between the advantages and disadvantages of each. While my New Zealand citizenship was often viewed more favorably globally, the distance from Europe posed challenges in securing a job. On the other hand, my Romanian citizenship granted me easier access to opportunities within the European Union, yet Romania's perception within the EU job market presented obstacles. Struggling to decide which path to take, I was left wondering: What should I do?...
As a designer with a desire to move to Europe, I find myself facing a dilemma. With dual citizenship in Romania and New Zealand, I am torn between the advantages and disadvantages of each. While my New Zealand citizenship is often viewed more favorably globally, the distance from Europe poses challenges in securing a job. On the other hand, my Romanian citizenship grants me easier access to opportunities within the European Union, yet Romania's perception within the EU job market presents obstacles. Struggling to decide which path to take, I am left wondering: What should I do?...
As a designer with a desire to move to Europe, I find myself facing a dilemma. With dual citizenship in Romania and New Zealand, I am torn between the advantages and disadvantages of each. While my New Zealand citizenship is often viewed more favorably globally, the distance from Europe poses challenges in securing a job. On the other hand, my Romanian citizenship grants me easier access to opportunities within the European Union, yet Romania's perception within the EU job market presents obstacles. Struggling to decide which path to take, I am left wondering: What should I do?...
As a designer with a desire to move to Europe, I find myself facing a dilemma. With dual citizenship in Romania and New Zealand, I am torn between the advantages and disadvantages of each. While my New Zealand citizenship is often viewed more favorably globally, the distance from Europe poses challenges in securing a job. On the other hand, my Romanian citizenship grants me easier access to opportunities within the European Union, yet Romania's perception within the EU job market presents obstacles. Struggling to decide which path to take, I am left wondering: What should I do?...
POSTED ON OCTOBER 2023

Shadow Mirrors
SHADOW MIRRORS
SHADOW MIRRORS
SHADOW MIRRORS
SHADOW MIRRORS
Where the true reflection lies.
Where the true reflection lies.
Where the true reflection lies.
Where the true reflection lies.
Where the true reflection lies.
Your reputation is based on
things you do when others can
see your actions but your
character is based on what you
do when no one is watching you.
Your reputation is based on things you do when others can see your actions but your character is based on what you do when no one is watching you.
Your reputation is based on things you do when others can see your actions but your character is based on what you do when no one is watching you.
Your reputation is based on things you do when others can see your actions but your character is based on what you do when no one is watching you.
Your reputation is based on things you do when others can see your actions but your character is based on what you do when no one is watching you.
So, reputation - that's the front-row seat people get to your life. The cool stuff you willingly share, the moments when you know eyes are on you. It's the curated version of your story, the one you want the world to see. Now, let's talk about character – the raw, unfiltered essence of who you are, away from the spotlight.
Think about that friend who's always got a smile, a helping hand, and a heart full of good vibes. Now, what if I told you that's not just for show? Nope, that's them 24/7. It's the late-night kindness, the thoughtful decisions, and the small acts of love when there's no audience. That's where character shines.
These moments? They're like the secret chapters of your life story, the ones only you get to read. It's the real you, unscripted and unfiltered. It's not about applause or recognition; it's about aligning your actions with your truest self when the world isn't watching.
In a world that sometimes feels like a stage, these are the unsung heroes. They're not just talking about values; they're living them in the quiet corners of their lives. It's a journey of self-discovery and authenticity, embracing the uncharted territories of your soul.
So here's to those silent architects of character, crafting the unseen masterpieces of goodness. They're not seeking validation; they're navigating the quiet dance between reputation and character. Let's all take a moment to reflect on our own unseen acts, the ones that shape the truest version of ourselves. After all, it's in the shadows where the most authentic stories unfold.
So, reputation - that's the front-row seat people get to your life. The cool stuff you willingly share, the moments when you know eyes are on you. It's the curated version of your story, the one you want the world to see. Now, let's talk about character – the raw, unfiltered essence of who you are, away from the spotlight.
Think about that friend who's always got a smile, a helping hand, and a heart full of good vibes. Now, what if I told you that's not just for show? Nope, that's them 24/7. It's the late-night kindness, the thoughtful decisions, and the small acts of love when there's no audience. That's where character shines.
These moments? They're like the secret chapters of your life story, the ones only you get to read. It's the real you, unscripted and unfiltered. It's not about applause or recognition; it's about aligning your actions with your truest self when the world isn't watching.
In a world that sometimes feels like a stage, these are the unsung heroes. They're not just talking about values; they're living them in the quiet corners of their lives. It's a journey of self-discovery and authenticity, embracing the uncharted territories of your soul.
So here's to those silent architects of character, crafting the unseen masterpieces of goodness. They're not seeking validation; they're navigating the quiet dance between reputation and character. Let's all take a moment to reflect on our own unseen acts, the ones that shape the truest version of ourselves. After all, it's in the shadows where the most authentic stories unfold.
So, reputation - that's the front-row seat people get to your life. The cool stuff you willingly share, the moments when you know eyes are on you. It's the curated version of your story, the one you want the world to see. Now, let's talk about character – the raw, unfiltered essence of who you are, away from the spotlight.
Think about that friend who's always got a smile, a helping hand, and a heart full of good vibes. Now, what if I told you that's not just for show? Nope, that's them 24/7. It's the late-night kindness, the thoughtful decisions, and the small acts of love when there's no audience. That's where character shines.
These moments? They're like the secret chapters of your life story, the ones only you get to read. It's the real you, unscripted and unfiltered. It's not about applause or recognition; it's about aligning your actions with your truest self when the world isn't watching.
In a world that sometimes feels like a stage, these are the unsung heroes. They're not just talking about values; they're living them in the quiet corners of their lives. It's a journey of self-discovery and authenticity, embracing the uncharted territories of your soul.
So here's to those silent architects of character, crafting the unseen masterpieces of goodness. They're not seeking validation; they're navigating the quiet dance between reputation and character. Let's all take a moment to reflect on our own unseen acts, the ones that shape the truest version of ourselves. After all, it's in the shadows where the most authentic stories unfold.
So, reputation - that's the front-row seat people get to your life. The cool stuff you willingly share, the moments when you know eyes are on you. It's the curated version of your story, the one you want the world to see. Now, let's talk about character – the raw, unfiltered essence of who you are, away from the spotlight.
Think about that friend who's always got a smile, a helping hand, and a heart full of good vibes. Now, what if I told you that's not just for show? Nope, that's them 24/7. It's the late-night kindness, the thoughtful decisions, and the small acts of love when there's no audience. That's where character shines.
These moments? They're like the secret chapters of your life story, the ones only you get to read. It's the real you, unscripted and unfiltered. It's not about applause or recognition; it's about aligning your actions with your truest self when the world isn't watching.
In a world that sometimes feels like a stage, these are the unsung heroes. They're not just talking about values; they're living them in the quiet corners of their lives. It's a journey of self-discovery and authenticity, embracing the uncharted territories of your soul.
So here's to those silent architects of character, crafting the unseen masterpieces of goodness. They're not seeking validation; they're navigating the quiet dance between reputation and character. Let's all take a moment to reflect on our own unseen acts, the ones that shape the truest version of ourselves. After all, it's in the shadows where the most authentic stories unfold.
So, reputation - that's the front-row seat people get to your life. The cool stuff you willingly share, the moments when you know eyes are on you. It's the curated version of your story, the one you want the world to see. Now, let's talk about character – the raw, unfiltered essence of who you are, away from the spotlight.
Think about that friend who's always got a smile, a helping hand, and a heart full of good vibes. Now, what if I told you that's not just for show? Nope, that's them 24/7. It's the late-night kindness, the thoughtful decisions, and the small acts of love when there's no audience. That's where character shines.
These moments? They're like the secret chapters of your life story, the ones only you get to read. It's the real you, unscripted and unfiltered. It's not about applause or recognition; it's about aligning your actions with your truest self when the world isn't watching.
In a world that sometimes feels like a stage, these are the unsung heroes. They're not just talking about values; they're living them in the quiet corners of their lives. It's a journey of self-discovery and authenticity, embracing the uncharted territories of your soul.
So here's to those silent architects of character, crafting the unseen masterpieces of goodness. They're not seeking validation; they're navigating the quiet dance between reputation and character. Let's all take a moment to reflect on our own unseen acts, the ones that shape the truest version of ourselves. After all, it's in the shadows where the most authentic stories unfold.
POSTED ON APRIL 2023

Less is More
LESS IS MORE
LESS IS MORE
LESS IS MORE
LESS IS MORE
And more work, sometimes.
And more work, sometimes.
And more work, sometimes.
And more work, sometimes.
And more work, sometimes.
"Minimalism, though seemingly
effortless, requires hidden effort."
"Minimalism, though seemingly effortless, requires hidden effort."
"Minimalism, though seemingly effortless, requires hidden effort."
"Minimalism, though seemingly effortless, requires hidden effort."
"Minimalism, though seemingly effortless, requires hidden effort."
When it comes to design, simplicity is not just about removing unnecessary elements, but also about creating a cohesive and harmonious composition that communicates the intended message clearly and effectively. A simple design can often convey a stronger message than a cluttered or convoluted one, and it can also be more memorable and impactful.
In addition, a simple design can also be more flexible and adaptable, making it easier to apply across different platforms and mediums. A complex design may be challenging to translate into various formats, but a simple design can be easily scaled and modified without losing its essence.
Creating a simple yet elegant design is often much harder than it appears. Many people assume that a minimalist design is easy to achieve, but the truth is that it can be a complex and time-consuming process that involves multiple stages of simplification.
The first stage of simplification involves analyzing the design and identifying all the elements that are unnecessary or do not contribute to the overall composition. This can be a difficult and time-consuming process, as it requires a deep understanding of the principles of design and a critical eye for detail.
Once all the unnecessary elements have been identified, the designer must then work to simplify the remaining elements without losing their essential meaning or impact. This involves a careful balancing act between removing elements and retaining enough to convey the intended message.
The final stage of simplification involves refining the design until it achieves the desired level of elegance and sophistication. This often involves making subtle adjustments to the composition, color palette, and typography, as well as experimenting with different layouts and proportions.
It is not uncommon for designers to spend hours or even days simplifying and refining a design until it achieves the desired level of elegance and sophistication.
Despite the complexity and effort involved in creating a simple yet elegant design, a lots of people I worked with during my career, assumed that such a design was easily obtained and therefore it shouldn't cost much. This is because a well-designed minimalist composition appears effortless and natural, as if it emerged fully formed from the designer's mind (like magic!), but it is the result of a significant amount of effort and skill on the part of the designer.
When it comes to design, simplicity is not just about removing unnecessary elements, but also about creating a cohesive and harmonious composition that communicates the intended message clearly and effectively. A simple design can often convey a stronger message than a cluttered or convoluted one, and it can also be more memorable and impactful.
In addition, a simple design can also be more flexible and adaptable, making it easier to apply across different platforms and mediums. A complex design may be challenging to translate into various formats, but a simple design can be easily scaled and modified without losing its essence.
Creating a simple yet elegant design is often much harder than it appears. Many people assume that a minimalist design is easy to achieve, but the truth is that it can be a complex and time-consuming process that involves multiple stages of simplification.
The first stage of simplification involves analyzing the design and identifying all the elements that are unnecessary or do not contribute to the overall composition. This can be a difficult and time-consuming process, as it requires a deep understanding of the principles of design and a critical eye for detail.
Once all the unnecessary elements have been identified, the designer must then work to simplify the remaining elements without losing their essential meaning or impact. This involves a careful balancing act between removing elements and retaining enough to convey the intended message.
The final stage of simplification involves refining the design until it achieves the desired level of elegance and sophistication. This often involves making subtle adjustments to the composition, color palette, and typography, as well as experimenting with different layouts and proportions.
It is not uncommon for designers to spend hours or even days simplifying and refining a design until it achieves the desired level of elegance and sophistication.
Despite the complexity and effort involved in creating a simple yet elegant design, a lots of people I worked with during my career, assumed that such a design was easily obtained and therefore it shouldn't cost much. This is because a well-designed minimalist composition appears effortless and natural, as if it emerged fully formed from the designer's mind (like magic!), but it is the result of a significant amount of effort and skill on the part of the designer.
When it comes to design, simplicity is not just about removing unnecessary elements, but also about creating a cohesive and harmonious composition that communicates the intended message clearly and effectively. A simple design can often convey a stronger message than a cluttered or convoluted one, and it can also be more memorable and impactful.
In addition, a simple design can also be more flexible and adaptable, making it easier to apply across different platforms and mediums. A complex design may be challenging to translate into various formats, but a simple design can be easily scaled and modified without losing its essence.
Creating a simple yet elegant design is often much harder than it appears. Many people assume that a minimalist design is easy to achieve, but the truth is that it can be a complex and time-consuming process that involves multiple stages of simplification.
The first stage of simplification involves analyzing the design and identifying all the elements that are unnecessary or do not contribute to the overall composition. This can be a difficult and time-consuming process, as it requires a deep understanding of the principles of design and a critical eye for detail.
Once all the unnecessary elements have been identified, the designer must then work to simplify the remaining elements without losing their essential meaning or impact. This involves a careful balancing act between removing elements and retaining enough to convey the intended message.
The final stage of simplification involves refining the design until it achieves the desired level of elegance and sophistication. This often involves making subtle adjustments to the composition, color palette, and typography, as well as experimenting with different layouts and proportions.
It is not uncommon for designers to spend hours or even days simplifying and refining a design until it achieves the desired level of elegance and sophistication.
Despite the complexity and effort involved in creating a simple yet elegant design, a lots of people I worked with during my career, assumed that such a design was easily obtained and therefore it shouldn't cost much. This is because a well-designed minimalist composition appears effortless and natural, as if it emerged fully formed from the designer's mind (like magic!), but it is the result of a significant amount of effort and skill on the part of the designer.
When it comes to design, simplicity is not just about removing unnecessary elements, but also about creating a cohesive and harmonious composition that communicates the intended message clearly and effectively. A simple design can often convey a stronger message than a cluttered or convoluted one, and it can also be more memorable and impactful.
In addition, a simple design can also be more flexible and adaptable, making it easier to apply across different platforms and mediums. A complex design may be challenging to translate into various formats, but a simple design can be easily scaled and modified without losing its essence.
Creating a simple yet elegant design is often much harder than it appears. Many people assume that a minimalist design is easy to achieve, but the truth is that it can be a complex and time-consuming process that involves multiple stages of simplification.
The first stage of simplification involves analyzing the design and identifying all the elements that are unnecessary or do not contribute to the overall composition. This can be a difficult and time-consuming process, as it requires a deep understanding of the principles of design and a critical eye for detail.
Once all the unnecessary elements have been identified, the designer must then work to simplify the remaining elements without losing their essential meaning or impact. This involves a careful balancing act between removing elements and retaining enough to convey the intended message.
The final stage of simplification involves refining the design until it achieves the desired level of elegance and sophistication. This often involves making subtle adjustments to the composition, color palette, and typography, as well as experimenting with different layouts and proportions.
It is not uncommon for designers to spend hours or even days simplifying and refining a design until it achieves the desired level of elegance and sophistication.
Despite the complexity and effort involved in creating a simple yet elegant design, a lots of people I worked with during my career, assumed that such a design was easily obtained and therefore it shouldn't cost much. This is because a well-designed minimalist composition appears effortless and natural, as if it emerged fully formed from the designer's mind (like magic!), but it is the result of a significant amount of effort and skill on the part of the designer.
When it comes to design, simplicity is not just about removing unnecessary elements, but also about creating a cohesive and harmonious composition that communicates the intended message clearly and effectively. A simple design can often convey a stronger message than a cluttered or convoluted one, and it can also be more memorable and impactful.
In addition, a simple design can also be more flexible and adaptable, making it easier to apply across different platforms and mediums. A complex design may be challenging to translate into various formats, but a simple design can be easily scaled and modified without losing its essence.
Creating a simple yet elegant design is often much harder than it appears. Many people assume that a minimalist design is easy to achieve, but the truth is that it can be a complex and time-consuming process that involves multiple stages of simplification.
The first stage of simplification involves analyzing the design and identifying all the elements that are unnecessary or do not contribute to the overall composition. This can be a difficult and time-consuming process, as it requires a deep understanding of the principles of design and a critical eye for detail.
Once all the unnecessary elements have been identified, the designer must then work to simplify the remaining elements without losing their essential meaning or impact. This involves a careful balancing act between removing elements and retaining enough to convey the intended message.
The final stage of simplification involves refining the design until it achieves the desired level of elegance and sophistication. This often involves making subtle adjustments to the composition, color palette, and typography, as well as experimenting with different layouts and proportions.
It is not uncommon for designers to spend hours or even days simplifying and refining a design until it achieves the desired level of elegance and sophistication.
Despite the complexity and effort involved in creating a simple yet elegant design, a lots of people I worked with during my career, assumed that such a design was easily obtained and therefore it shouldn't cost much. This is because a well-designed minimalist composition appears effortless and natural, as if it emerged fully formed from the designer's mind (like magic!), but it is the result of a significant amount of effort and skill on the part of the designer.
POSTED ON JANUARY 2023

Breaking Good
BREAKING GOOD
BREAKING GOOD
BREAKING GOOD
BREAKING GOOD
"The only Constant in Life is Change"
- Heraclitus
"The only Constant in Life is Change"
- Heraclitus
"The only Constant in Life is Change"
- Heraclitus
"The only Constant in Life is Change"
- Heraclitus
"The only Constant in Life is Change"
- Heraclitus
Changes that bring
new opportunities.
Changes that bring new opportunities.
Changes that bring new opportunities.
Changes that bring new opportunities.
Changes that bring new opportunities.
With the world coming to a halt, many of us have been forced to spend more time indoors and away from the distractions of the outside world. This presents the perfect opportunity to focus on learning new skills, breaking bad habits, and perfecting existing skills.
The first step in taking advantage of the Covid lockdown is to set clear and achievable goals. Whether you want to learn a new software, improve your time management skills, or perfect your design skills, it is important to set goals that are specific, measurable, achievable, relevant, and time-bound. Next, it is essential to create a structured routine that will enable you to achieve your goals. This could involve setting aside specific times of the day for learning new skills or practicing old ones. By creating a routine, you will be able to stay focused and motivated, and avoid getting distracted by the numerous distractions that are present in our daily lives.
Another way to take advantage of the lockdown is to make use of the numerous online resources that are available. There are numerous online courses, tutorials, and webinars that can help you to learn new skills or perfect existing ones. By taking advantage of these resources, you can enhance your design skills, and stay up-to-date with the latest design trends and technologies.
In addition to learning new skills, it is also important to break bad habits and adopt new good ones. This could involve quitting bad habits such as procrastination, and adopting new habits such as setting achievable goals, prioritizing tasks, and managing your time effectively. By breaking bad habits and adopting new good ones, you will be able to improve your productivity, stay focused, and achieve your goals more effectively.
Lastly, it is important to stay motivated and remain focused on your goals. This could involve setting up a reward system for achieving your goals, seeking the support of family and friends, or simply reminding yourself of the benefits of achieving your goals. By staying motivated and focused, you will be able to overcome any obstacles that may arise, and achieve your goals more effectively.
In conclusion, the Covid lockdown presented a unique opportunity for personal and professional growth. I took advantage of this opportunity by setting clear goals, I even changed my job and create a new structured daily routine for myself which helped me to stay more motivated and focused during this time. Where others saw boredom, I saw an opportunity for personal introspection. It's just a matter of perspective. And, like me, there are thousands, if not millions of other people who have taken advantage of this opportunity. It was a good time to finally make those long-postponed changes happen.
With the world coming to a halt, many of us have been forced to spend more time indoors and away from the distractions of the outside world. This presents the perfect opportunity to focus on learning new skills, breaking bad habits, and perfecting existing skills.
The first step in taking advantage of the Covid lockdown is to set clear and achievable goals. Whether you want to learn a new software, improve your time management skills, or perfect your design skills, it is important to set goals that are specific, measurable, achievable, relevant, and time-bound. Next, it is essential to create a structured routine that will enable you to achieve your goals. This could involve setting aside specific times of the day for learning new skills or practicing old ones. By creating a routine, you will be able to stay focused and motivated, and avoid getting distracted by the numerous distractions that are present in our daily lives.
Another way to take advantage of the lockdown is to make use of the numerous online resources that are available. There are numerous online courses, tutorials, and webinars that can help you to learn new skills or perfect existing ones. By taking advantage of these resources, you can enhance your design skills, and stay up-to-date with the latest design trends and technologies.
In addition to learning new skills, it is also important to break bad habits and adopt new good ones. This could involve quitting bad habits such as procrastination, and adopting new habits such as setting achievable goals, prioritizing tasks, and managing your time effectively. By breaking bad habits and adopting new good ones, you will be able to improve your productivity, stay focused, and achieve your goals more effectively.
Lastly, it is important to stay motivated and remain focused on your goals. This could involve setting up a reward system for achieving your goals, seeking the support of family and friends, or simply reminding yourself of the benefits of achieving your goals. By staying motivated and focused, you will be able to overcome any obstacles that may arise, and achieve your goals more effectively.
In conclusion, the Covid lockdown presented a unique opportunity for personal and professional growth. I took advantage of this opportunity by setting clear goals, I even changed my job and create a new structured daily routine for myself which helped me to stay more motivated and focused during this time. Where others saw boredom, I saw an opportunity for personal introspection. It's just a matter of perspective. And, like me, there are thousands, if not millions of other people who have taken advantage of this opportunity. It was a good time to finally make those long-postponed changes happen.
With the world coming to a halt, many of us have been forced to spend more time indoors and away from the distractions of the outside world. This presents the perfect opportunity to focus on learning new skills, breaking bad habits, and perfecting existing skills.
The first step in taking advantage of the Covid lockdown is to set clear and achievable goals. Whether you want to learn a new software, improve your time management skills, or perfect your design skills, it is important to set goals that are specific, measurable, achievable, relevant, and time-bound. Next, it is essential to create a structured routine that will enable you to achieve your goals. This could involve setting aside specific times of the day for learning new skills or practicing old ones. By creating a routine, you will be able to stay focused and motivated, and avoid getting distracted by the numerous distractions that are present in our daily lives.
Another way to take advantage of the lockdown is to make use of the numerous online resources that are available. There are numerous online courses, tutorials, and webinars that can help you to learn new skills or perfect existing ones. By taking advantage of these resources, you can enhance your design skills, and stay up-to-date with the latest design trends and technologies.
In addition to learning new skills, it is also important to break bad habits and adopt new good ones. This could involve quitting bad habits such as procrastination, and adopting new habits such as setting achievable goals, prioritizing tasks, and managing your time effectively. By breaking bad habits and adopting new good ones, you will be able to improve your productivity, stay focused, and achieve your goals more effectively.
Lastly, it is important to stay motivated and remain focused on your goals. This could involve setting up a reward system for achieving your goals, seeking the support of family and friends, or simply reminding yourself of the benefits of achieving your goals. By staying motivated and focused, you will be able to overcome any obstacles that may arise, and achieve your goals more effectively.
In conclusion, the Covid lockdown presented a unique opportunity for personal and professional growth. I took advantage of this opportunity by setting clear goals, I even changed my job and create a new structured daily routine for myself which helped me to stay more motivated and focused during this time. Where others saw boredom, I saw an opportunity for personal introspection. It's just a matter of perspective. And, like me, there are thousands, if not millions of other people who have taken advantage of this opportunity. It was a good time to finally make those long-postponed changes happen.
With the world coming to a halt, many of us have been forced to spend more time indoors and away from the distractions of the outside world. This presents the perfect opportunity to focus on learning new skills, breaking bad habits, and perfecting existing skills.
The first step in taking advantage of the Covid lockdown is to set clear and achievable goals. Whether you want to learn a new software, improve your time management skills, or perfect your design skills, it is important to set goals that are specific, measurable, achievable, relevant, and time-bound. Next, it is essential to create a structured routine that will enable you to achieve your goals. This could involve setting aside specific times of the day for learning new skills or practicing old ones. By creating a routine, you will be able to stay focused and motivated, and avoid getting distracted by the numerous distractions that are present in our daily lives.
Another way to take advantage of the lockdown is to make use of the numerous online resources that are available. There are numerous online courses, tutorials, and webinars that can help you to learn new skills or perfect existing ones. By taking advantage of these resources, you can enhance your design skills, and stay up-to-date with the latest design trends and technologies.
In addition to learning new skills, it is also important to break bad habits and adopt new good ones. This could involve quitting bad habits such as procrastination, and adopting new habits such as setting achievable goals, prioritizing tasks, and managing your time effectively. By breaking bad habits and adopting new good ones, you will be able to improve your productivity, stay focused, and achieve your goals more effectively.
Lastly, it is important to stay motivated and remain focused on your goals. This could involve setting up a reward system for achieving your goals, seeking the support of family and friends, or simply reminding yourself of the benefits of achieving your goals. By staying motivated and focused, you will be able to overcome any obstacles that may arise, and achieve your goals more effectively.
In conclusion, the Covid lockdown presented a unique opportunity for personal and professional growth. I took advantage of this opportunity by setting clear goals, I even changed my job and create a new structured daily routine for myself which helped me to stay more motivated and focused during this time. Where others saw boredom, I saw an opportunity for personal introspection. It's just a matter of perspective. And, like me, there are thousands, if not millions of other people who have taken advantage of this opportunity. It was a good time to finally make those long-postponed changes happen.
With the world coming to a halt, many of us have been forced to spend more time indoors and away from the distractions of the outside world. This presents the perfect opportunity to focus on learning new skills, breaking bad habits, and perfecting existing skills.
The first step in taking advantage of the Covid lockdown is to set clear and achievable goals. Whether you want to learn a new software, improve your time management skills, or perfect your design skills, it is important to set goals that are specific, measurable, achievable, relevant, and time-bound. Next, it is essential to create a structured routine that will enable you to achieve your goals. This could involve setting aside specific times of the day for learning new skills or practicing old ones. By creating a routine, you will be able to stay focused and motivated, and avoid getting distracted by the numerous distractions that are present in our daily lives.
Another way to take advantage of the lockdown is to make use of the numerous online resources that are available. There are numerous online courses, tutorials, and webinars that can help you to learn new skills or perfect existing ones. By taking advantage of these resources, you can enhance your design skills, and stay up-to-date with the latest design trends and technologies.
In addition to learning new skills, it is also important to break bad habits and adopt new good ones. This could involve quitting bad habits such as procrastination, and adopting new habits such as setting achievable goals, prioritizing tasks, and managing your time effectively. By breaking bad habits and adopting new good ones, you will be able to improve your productivity, stay focused, and achieve your goals more effectively.
Lastly, it is important to stay motivated and remain focused on your goals. This could involve setting up a reward system for achieving your goals, seeking the support of family and friends, or simply reminding yourself of the benefits of achieving your goals. By staying motivated and focused, you will be able to overcome any obstacles that may arise, and achieve your goals more effectively.
In conclusion, the Covid lockdown presented a unique opportunity for personal and professional growth. I took advantage of this opportunity by setting clear goals, I even changed my job and create a new structured daily routine for myself which helped me to stay more motivated and focused during this time. Where others saw boredom, I saw an opportunity for personal introspection. It's just a matter of perspective. And, like me, there are thousands, if not millions of other people who have taken advantage of this opportunity. It was a good time to finally make those long-postponed changes happen.
POSTED ON OCTOBER 2022

Momentum
MOMENTUM
MOMENTUM
MOMENTUM
MOMENTUM
Zen-Tsuku-Don:
a collection of haikus about taiko
Zen-Tsuku-Don:
a collection of haikus about taiko
Zen-Tsuku-Don:
a collection of haikus about taiko
Zen-Tsuku-Don:
a collection of haikus about taiko
Zen-Tsuku-Don:
a collection of haikus about taiko
"Carpe diem quam
minimum credula postero"
"Carpe diem quam minimum credula postero"
"Carpe diem quam minimum credula postero"
"Carpe diem quam minimum credula postero"
"Carpe diem quam minimum credula postero"
"Seize the day, trusting as little as possible in the future."
In other words, don't take tomorrow for granted. So, if you have something to do today that doesn't involve going to Mars, do it now. This is also the essence of haiku poetry (or at least, that's how I interpret it) - to capture the present moment. Just as the ocean is composed of countless drops of water, our lives are comprised of these small moments. The inspiration for this haiku collection came from the lockdown conditions. (If it weren't for the lockdown, these musings might have remained hidden).
Like everyone else, our taiko dojo was also locked down during the pandemic. In an effort to stay connected, my taiko family came up with various challenges and tasks. One of them was to write a haiku about taiko. But once I started writing, I found it hard to stop... Here are some of the moments we shared during training at the dojo or workshops in the Rotorua Forest Camp.
Read the haikus here. Thank you.
*To my Kumo family - for the joy we share and all the songs: Raging Waves / Rising Mountain / Spring, Spring, Spring / Miyake.
"Seize the day, trusting as little as possible in the future."
In other words, don't take tomorrow for granted. So, if you have something to do today that doesn't involve going to Mars, do it now. This is also the essence of haiku poetry (or at least, that's how I interpret it) - to capture the present moment. Just as the ocean is composed of countless drops of water, our lives are comprised of these small moments. The inspiration for this haiku collection came from the lockdown conditions. (If it weren't for the lockdown, these musings might have remained hidden).
Like everyone else, our taiko dojo was also locked down during the pandemic. In an effort to stay connected, my taiko family came up with various challenges and tasks. One of them was to write a haiku about taiko. But once I started writing, I found it hard to stop... Here are some of the moments we shared during training at the dojo or workshops in the Rotorua Forest Camp.
I hope you enjoy reading these haikus as much as I enjoyed writing them*. Thank you.
*To my Kumo family - for the joy we share and all the songs: Raging Waves / Rising Mountain / Spring, Spring, Spring / Miyake.
"Seize the day, trusting as little as possible in the future."
In other words, don't take tomorrow for granted. So, if you have something to do today that doesn't involve going to Mars, do it now. This is also the essence of haiku poetry (or at least, that's how I interpret it) - to capture the present moment. Just as the ocean is composed of countless drops of water, our lives are comprised of these small moments. The inspiration for this haiku collection came from the lockdown conditions. (If it weren't for the lockdown, these musings might have remained hidden).
Like everyone else, our taiko dojo was also locked down during the pandemic. In an effort to stay connected, my taiko family came up with various challenges and tasks. One of them was to write a haiku about taiko. But once I started writing, I found it hard to stop... Here are some of the moments we shared during training at the dojo or workshops in the Rotorua Forest Camp.
I hope you enjoy reading these haikus as much as I enjoyed writing them*. Thank you.
*To my Kumo family - for the joy we share and all the songs: Raging Waves / Rising Mountain / Spring, Spring, Spring / Miyake.
01
Silence before the storm.
Shadow warrior awaits
The sound of the first thunder.
02
A still, calm ocean.
Deep down within the water
Raging Waves are born.
03
Nature awakes.
Colors flourish in the air
Lovely Spring Spring Spring.
04
Am I ready yet?
I will never truly be.
So, let’s begin.
05
In the garden, the drum
is waiting for the sun to rise.
Miyake cuts the silence.
06
All over again.
Fighting to get the perfect beat.
And move.
Right “from the top”.
07
A warm summer rain.
Over the Rising Mountain,
Sounds just like drumming.
08
Don-tsuku don-tsuku don
tsuku-don-don. Don-tsuku
don-tsuku don-tsuku don.
09
A journey begins now.
The same song is different.
Time flies.
10
A warrior's challenge.
Powerful hits.
Still, nobody dies.
(apart from a few bachis…)
11
A warrior stance.
A moment of tension.
The most important of his entire life.
Right here, right now.
12
Late in the night
The sound of drums and
the joy of playing.
Also sake. :P
13
Forest in my hand.
Air in my lungs.
Fire in my heart.
Still holding my ground.
14
Words are just sounds but
here, sounds are not just words.
Beautiful people.
15
The way to the top
of the mountain it’s tough.
But we are making the journey
with two sticks in our hands.
16
This journey begins with one hit.
Others will follow.
Eventually.
17
Bachis, drums and sake.
An alchemist move.
Pure joy.
18
A buzzing bee.
No move; my heart is beating.
Here comes the rhythm.
19
Biggest drum in the sky
Holds secret sounds.
Sunset.
20
White and blue colours
come together in the sky.
A Kumo* family.
*Japanese word for "cloud"
"Seize the day, trusting as little as possible in the future."
In other words, don't take tomorrow for granted. So, if you have something to do today that doesn't involve going to Mars, do it now. This is also the essence of haiku poetry (or at least, that's how I interpret it) - to capture the present moment. Just as the ocean is composed of countless drops of water, our lives are comprised of these small moments. The inspiration for this haiku collection came from the lockdown conditions. (If it weren't for the lockdown, these musings might have remained hidden).
Like everyone else, our taiko dojo was also locked down during the pandemic. In an effort to stay connected, my taiko family came up with various challenges and tasks. One of them was to write a haiku about taiko. But once I started writing, I found it hard to stop... Here are some of the moments we shared during training at the dojo or workshops in the Rotorua Forest Camp.
I hope you enjoy reading these haikus as much as I enjoyed writing them*. Thank you.
*To my Kumo family - for the joy we share and all the songs: Raging Waves / Rising Mountain / Spring, Spring, Spring / Miyake.
01
Silence before the storm.
Shadow warrior awaits
The sound of the first thunder.
02
A still, calm ocean.
Deep down within the water
Raging Waves are born.
03
Nature awakes.
Colors flourish in the air
Lovely Spring Spring Spring.
04
Am I ready yet?
I will never truly be.
So, let’s begin.
05
In the garden, the drum
is waiting for the sun to rise.
Miyake cuts the silence.
06
All over again.
Fighting to get the perfect beat.
And move.
Right “from the top”.
07
A warm summer rain.
Over the Rising Mountain,
Sounds just like drumming.
08
Don-tsuku don-tsuku don
tsuku-don-don. Don-tsuku
don-tsuku don-tsuku don.
09
A journey begins now.
The same song is different.
Time flies.
10
A warrior's challenge.
Powerful hits.
Still, nobody dies.
(apart from a few bachis…)
11
A warrior stance.
A moment of tension.
The most important of his entire life.
Right here, right now.
12
Late in the night
The sound of drums and
the joy of playing.
Also sake. :P
13
Forest in my hand.
Air in my lungs.
Fire in my heart.
Still holding my ground.
14
Words are just sounds but
here, sounds are not just words.
Beautiful people.
15
The way to the top
of the mountain it’s tough.
But we are making the journey
with two sticks in our hands.
16
This journey begins with one hit.
Others will follow.
Eventually.
17
Bachis, drums and sake.
An alchemist move.
Pure joy.
18
A buzzing bee.
No move; my heart is beating.
Here comes the rhythm.
19
Biggest drum in the sky
Holds secret sounds.
Sunset.
20
White and blue colours
come together in the sky.
A Kumo* family.
*Japanese word for "cloud"
"Seize the day, trusting as little as possible in the future."
In other words, don't take tomorrow for granted. So, if you have something to do today that doesn't involve going to Mars, do it now. This is also the essence of haiku poetry (or at least, that's how I interpret it) - to capture the present moment. Just as the ocean is composed of countless drops of water, our lives are comprised of these small moments. The inspiration for this haiku collection came from the lockdown conditions. (If it weren't for the lockdown, these musings might have remained hidden).
Like everyone else, our taiko dojo was also locked down during the pandemic. In an effort to stay connected, my taiko family came up with various challenges and tasks. One of them was to write a haiku about taiko. But once I started writing, I found it hard to stop... Here are some of the moments we shared during training at the dojo or workshops in the Rotorua Forest Camp.
I hope you enjoy reading these haikus as much as I enjoyed writing them*. Thank you.
*To my Kumo family - for the joy we share and all the songs: Raging Waves / Rising Mountain / Spring, Spring, Spring / Miyake.
01
Silence before the storm.
Shadow warrior awaits
The sound of the first thunder.
02
A still, calm ocean.
Deep down within the water
Raging Waves are born.
03
Nature awakes.
Colors flourish in the air
Lovely Spring Spring Spring.
04
Am I ready yet?
I will never truly be.
So, let’s begin.
05
In the garden, the drum
is waiting for the sun to rise.
Miyake cuts the silence.
06
All over again.
Fighting to get the perfect beat.
And move.
Right “from the top”.
07
A warm summer rain.
Over the Rising Mountain,
Sounds just like drumming.
08
Don-tsuku don-tsuku don
tsuku-don-don. Don-tsuku
don-tsuku don-tsuku don.
09
A journey begins now.
The same song is different.
Time flies.
10
A warrior's challenge.
Powerful hits.
Still, nobody dies.
(apart from a few bachis…)
11
A warrior stance.
A moment of tension.
The most important of his entire life.
Right here, right now.
12
Late in the night
The sound of drums and
the joy of playing.
Also sake. :P
13
Forest in my hand.
Air in my lungs.
Fire in my heart.
Still holding my ground.
14
Words are just sounds but
here, sounds are not just words.
Beautiful people.
15
The way to the top
of the mountain it’s tough.
But we are making the journey
with two sticks in our hands.
16
This journey begins with one hit.
Others will follow.
Eventually.
17
Bachis, drums and sake.
An alchemist move.
Pure joy.
18
A buzzing bee.
No move; my heart is beating.
Here comes the rhythm.
19
Biggest drum in the sky
Holds secret sounds.
Sunset.
20
White and blue colours
come together in the sky.
A Kumo* family.
*Japanese word for "cloud"
POSTED ON AUGUST 2021
Time waits
for no one
TIME WAITS
FOR NO ONE
TIME WAITS FOR NO ONE
TIME WAITS FOR NO ONE
TIME WAITS FOR NO ONE
Today, 12:00
Today, 12:00
Today, 12:00
Today, 12:00
Today, 12:00
Time is what
you make of it.
Time is what you make of it.
Time is what you make of it.
Time is what you make of it.
Time is what you make of it.
During the lockdown, when all the days start to blend together, it becomes important for each of us to find ways to make them stand out. One way to achieve this is by learning something new, perhaps something you've always wanted to do but never had time for. You can also consider restarting old projects or reviewing current ones. Or maybe just take some time for yourself and learn how to reconnect with the neglected parts of yourself that have been overlooked due to the work-home-work routine. The pandemic presents an opportunity to do all of these things - now is the perfect time.
The pandemic-induced break can be incredibly beneficial. Not everyone has the luck or knowledge to make a ton of money during crises, so we have to adapt. Time, happiness, and health cannot be bought with money. The best way to care for these things is to take care of ourselves. The pandemic has spurred necessary cultural changes in all aspects of life and has accelerated new developments that we all thought would happen later.
During the lockdown, when all the days start to blend together, it becomes important for each of us to find ways to make them stand out. One way to achieve this is by learning something new, perhaps something you've always wanted to do but never had time for. You can also consider restarting old projects or reviewing current ones. Or maybe just take some time for yourself and learn how to reconnect with the neglected parts of yourself that have been overlooked due to the work-home-work routine. The pandemic presents an opportunity to do all of these things - now is the perfect time.
The pandemic-induced break can be incredibly beneficial. Not everyone has the luck or knowledge to make a ton of money during crises, so we have to adapt. Time, happiness, and health cannot be bought with money. The best way to care for these things is to take care of ourselves. The pandemic has spurred necessary cultural changes in all aspects of life and has accelerated new developments that we all thought would happen later.
During the lockdown, when all the days start to blend together, it becomes important for each of us to find ways to make them stand out. One way to achieve this is by learning something new, perhaps something you've always wanted to do but never had time for. You can also consider restarting old projects or reviewing current ones. Or maybe just take some time for yourself and learn how to reconnect with the neglected parts of yourself that have been overlooked due to the work-home-work routine. The pandemic presents an opportunity to do all of these things - now is the perfect time.
The pandemic-induced break can be incredibly beneficial. Not everyone has the luck or knowledge to make a ton of money during crises, so we have to adapt. Time, happiness, and health cannot be bought with money. The best way to care for these things is to take care of ourselves. The pandemic has spurred necessary cultural changes in all aspects of life and has accelerated new developments that we all thought would happen later.
During the lockdown, when all the days start to blend together, it becomes important for each of us to find ways to make them stand out. One way to achieve this is by learning something new, perhaps something you've always wanted to do but never had time for. You can also consider restarting old projects or reviewing current ones. Or maybe just take some time for yourself and learn how to reconnect with the neglected parts of yourself that have been overlooked due to the work-home-work routine. The pandemic presents an opportunity to do all of these things - now is the perfect time.
The pandemic-induced break can be incredibly beneficial. Not everyone has the luck or knowledge to make a ton of money during crises, so we have to adapt. Time, happiness, and health cannot be bought with money. The best way to care for these things is to take care of ourselves. The pandemic has spurred necessary cultural changes in all aspects of life and has accelerated new developments that we all thought would happen later.
During the lockdown, when all the days start to blend together, it becomes important for each of us to find ways to make them stand out. One way to achieve this is by learning something new, perhaps something you've always wanted to do but never had time for. You can also consider restarting old projects or reviewing current ones. Or maybe just take some time for yourself and learn how to reconnect with the neglected parts of yourself that have been overlooked due to the work-home-work routine. The pandemic presents an opportunity to do all of these things - now is the perfect time.
The pandemic-induced break can be incredibly beneficial. Not everyone has the luck or knowledge to make a ton of money during crises, so we have to adapt. Time, happiness, and health cannot be bought with money. The best way to care for these things is to take care of ourselves. The pandemic has spurred necessary cultural changes in all aspects of life and has accelerated new developments that we all thought would happen later.
POSTED ON MAY 2021

Acorns and
Pinecons
ACORNS AND
PINECONES
ACORNS AND PINECONES
ACORNS AND PINECONES
ACORNS AND PINECONES
Autumn is coming.
Autumn is coming.
Autumn is coming.
Autumn is coming.
Autumn is coming.
"Spring is beautiful, and summer
is perfect for vacations, but autumn
brings a longing to get away from
the unreal things of life, out into the
forest at night with a campfire and
the rustling leaves."
"Spring is beautiful, and summer is perfect for vacations, but autumn brings a longing to get away from the unreal things of life, out into the forest at night with a campfire and the rustling leaves."
"Spring is beautiful, and summer is perfect for vacations, but autumn brings a longing to get away from the unreal things of life, out into the forest at night with a campfire and the rustling leaves."
Autumn is once again arriving in New Zealand, as it does every year. This marks the 14th year since I first landed in Auckland.
Before coming here, I was excited about the prospect of having Christmas on the beach - it seemed like an exotic and interesting idea. However, as the years passed, I couldn't shake the longing for the distinct transitions that mark the passing of time - the vibrant hues of spring, the temperate summer, the crisp winter, and most of all, the enchanting autumn.
I guess what I miss most is the essence of existence - the beautiful dance of colors and sounds that come with the changing seasons. Instinctively, I started collecting acorns and pinecones that reminded me of my dear colorful autumn in Europe. I even found myself looking for oak, birch, or beech trees that would make my heart race.
Living in the Evergreen Realm of New Zealand, one of the most beautiful countries in the world, where the landscape remains unchanged throughout the year, made me reflect on immortality. The beauty of life comes from the perpetual change, the circle of life's permanent dance - the death and the rebirth, which is marvelously revealed through the life of a small, seemingly insignificant leaf - a vital part of any tree's existence. This led me to ask myself, would it be the same for an immortal being? To be always "green" - not dead - for years, decades, aeons? To me, it sounds as boring as it can be and more like torture than a gift.
With this thought in mind, my soul continues to long for autumn, for acorns and pinecones, like the ones on my desk.
"Spring is beautiful, and summer is perfect for vacations, but autumn brings a longing to get away from the unreal things of life, out into the forest at night with a campfire and the rustling leaves."
Autumn is once again arriving in New Zealand, as it does every year. This marks the 14th year since I first landed in Auckland.
Before coming here, I was excited about the prospect of having Christmas on the beach - it seemed like an exotic and interesting idea. However, as the years passed, I couldn't shake the longing for the distinct transitions that mark the passing of time - the vibrant hues of spring, the temperate summer, the crisp winter, and most of all, the enchanting autumn.
I guess what I miss most is the essence of existence - the beautiful dance of colors and sounds that come with the changing seasons. Instinctively, I started collecting acorns and pinecones that reminded me of my dear colorful autumn in Europe. I even found myself looking for oak, birch, or beech trees that would make my heart race.
Living in the Evergreen Realm of New Zealand, one of the most beautiful countries in the world, where the landscape remains unchanged throughout the year, made me reflect on immortality. The beauty of life comes from the perpetual change, the circle of life's permanent dance - the death and the rebirth, which is marvelously revealed through the life of a small, seemingly insignificant leaf - a vital part of any tree's existence. This led me to ask myself, would it be the same for an immortal being? To be always "green" - not dead - for years, decades, aeons? To me, it sounds as boring as it can be and more like torture than a gift.
With this thought in mind, my soul continues to long for autumn, for acorns and pinecones, like the ones on my desk.
"Spring is beautiful, and summer is perfect for vacations, but autumn brings a longing to get away from the unreal things of life, out into the forest at night with a campfire and the rustling leaves."
Autumn is once again arriving in New Zealand, as it does every year. This marks the 14th year since I first landed in Auckland.
Before coming here, I was excited about the prospect of having Christmas on the beach - it seemed like an exotic and interesting idea. However, as the years passed, I couldn't shake the longing for the distinct transitions that mark the passing of time - the vibrant hues of spring, the temperate summer, the crisp winter, and most of all, the enchanting autumn.
I guess what I miss most is the essence of existence - the beautiful dance of colors and sounds that come with the changing seasons. Instinctively, I started collecting acorns and pinecones that reminded me of my dear colorful autumn in Europe. I even found myself looking for oak, birch, or beech trees that would make my heart race.
Living in the Evergreen Realm of New Zealand, one of the most beautiful countries in the world, where the landscape remains unchanged throughout the year, made me reflect on immortality. The beauty of life comes from the perpetual change, the circle of life's permanent dance - the death and the rebirth, which is marvelously revealed through the life of a small, seemingly insignificant leaf - a vital part of any tree's existence. This led me to ask myself, would it be the same for an immortal being? To be always "green" - not dead - for years, decades, aeons? To me, it sounds as boring as it can be and more like torture than a gift.
With this thought in mind, my soul continues to long for autumn, for acorns and pinecones, like the ones on my desk.
Autumn is once again arriving in New Zealand, as it does every year. This marks the 14th year since I first landed in Auckland.
Before coming here, I was excited about the prospect of having Christmas on the beach - it seemed like an exotic and interesting idea. However, as the years passed, I couldn't shake the longing for the distinct transitions that mark the passing of time - the vibrant hues of spring, the temperate summer, the crisp winter, and most of all, the enchanting autumn.
I guess what I miss most is the essence of existence - the beautiful dance of colors and sounds that come with the changing seasons. Instinctively, I started collecting acorns and pinecones that reminded me of my dear colorful autumn in Europe. I even found myself looking for oak, birch, or beech trees that would make my heart race.
Living in the Evergreen Realm of New Zealand, one of the most beautiful countries in the world, where the landscape remains unchanged throughout the year, made me reflect on immortality. The beauty of life comes from the perpetual change, the circle of life's permanent dance - the death and the rebirth, which is marvelously revealed through the life of a small, seemingly insignificant leaf - a vital part of any tree's existence. This led me to ask myself, would it be the same for an immortal being? To be always "green" - not dead - for years, decades, aeons? To me, it sounds as boring as it can be and more like torture than a gift.
With this thought in mind, my soul continues to long for autumn, for acorns and pinecones, like the ones on my desk.
Autumn is once again arriving in New Zealand, as it does every year. This marks the 14th year since I first landed in Auckland.
Before coming here, I was excited about the prospect of having Christmas on the beach - it seemed like an exotic and interesting idea. However, as the years passed, I couldn't shake the longing for the distinct transitions that mark the passing of time - the vibrant hues of spring, the temperate summer, the crisp winter, and most of all, the enchanting autumn.
I guess what I miss most is the essence of existence - the beautiful dance of colors and sounds that come with the changing seasons. Instinctively, I started collecting acorns and pinecones that reminded me of my dear colorful autumn in Europe. I even found myself looking for oak, birch, or beech trees that would make my heart race.
Living in the Evergreen Realm of New Zealand, one of the most beautiful countries in the world, where the landscape remains unchanged throughout the year, made me reflect on immortality. The beauty of life comes from the perpetual change, the circle of life's permanent dance - the death and the rebirth, which is marvelously revealed through the life of a small, seemingly insignificant leaf - a vital part of any tree's existence. This led me to ask myself, would it be the same for an immortal being? To be always "green" - not dead - for years, decades, aeons? To me, it sounds as boring as it can be and more like torture than a gift.
With this thought in mind, my soul continues to long for autumn, for acorns and pinecones, like the ones on my desk.
.
.
.
POSTED ON JANUARY 2021

Whispers and
Shadows
WHISPERS AND
SHADOWS
WHISPERS AND SHADOWS
WHISPERS AND SHADOWS
WHISPERS AND SHADOWS
Filling the paper and the screen with the rhythm of my heart,
as beautifully expressed by William Wordsworth.
Filling the paper and the screen with the rhythm of my heart,
as beautifully expressed by William Wordsworth.
Filling the paper and the screen with the
rhythm of my heart,as beautifully expressed
by William Wordsworth.
Filling the paper and the screen with the
rhythm of my heart,as beautifully expressed
by William Wordsworth.
Filling the paper and the screen with the
rhythm of my heart,as beautifully expressed
by William Wordsworth.
We all have our demons,
obsessions and moments of
inspiration and creativity.
We all have our demons, obsessions and moments of inspiration and creativity.
We all have our demons, obsessions and moments of inspiration and creativity.
We all have our demons, obsessions and moments of inspiration and creativity.
We all have our demons, obsessions and moments of inspiration and creativity.
Even though we may not always recognize them, challenges are inevitable in life, each offering opportunities for growth and learning. While we cannot change or avoid them, we can equip ourselves with strategies to navigate through them.
These moments of sadness, anger, and happiness forge a subtle connection with the universe, serving as sources of inspiration, teachings, and wisdom.
I, too, have encountered these challenges, and what you will find below are reflections of those moments. I do not claim to be a poet; rather, I prefer to think of them as thoughts; whispers from ancient gods and shadows of my ancestors, crossing dimensions into our reality. Read more haikus here.
Enjoy.
Even though we may not always recognize them, challenges are inevitable in life, each offering opportunities for growth and learning. While we cannot change or avoid them, we can equip ourselves with strategies to navigate through them.
These moments of sadness, anger, and happiness forge a subtle connection with the universe, serving as sources of inspiration, teachings, and wisdom.
I, too, have encountered these challenges, and what you will find below are reflections of those moments. I do not claim to be a poet; rather, I prefer to think of them as thoughts; whispers from ancient gods and shadows of my ancestors, crossing dimensions into our reality.
Enjoy.
Even though we may not always recognize them, challenges are inevitable in life, each offering opportunities for growth and learning. While we cannot change or avoid them, we can equip ourselves with strategies to navigate through them.
These moments of sadness, anger, and happiness forge a subtle connection with the universe, serving as sources of inspiration, teachings, and wisdom.
I, too, have encountered these challenges, and what you will find below are reflections of those moments. I do not claim to be a poet; rather, I prefer to think of them as thoughts; whispers from ancient gods and shadows of my ancestors, crossing dimensions into our reality.
Enjoy.
01
A little bird perched on a branch, Just above my head. A blink, and it's gone.
02
The drumming rain. A mighty thunder. In the dark of night, A symphony.
03
Round light in the night, above. The howling wolf.
04
You see it, then it's gone. You think it, then it's none. A mind trick.
05
Above us all, a grey blanket spreads. The storm approaches.
06
Daily mud makes us forget the beauty of clear water.
07
Grey sky sheds tears of winter's magnitude. Peering through window glass, the water dances.
08
Fear. Above all, we fear meeting ourselves. We are all but fugitives. The more we run, the more we fear.
09
Sometimes we feel the urge to punch silence in the face.
10 [RO]
Sunt umbra omului din umbra. Cel pe care nu-l zaresti dar il vezi daca te opresti o clipa si privesti Mai de aproape. Sunt umbra care sta in umbra, umbrind cu umbra lui, umbrele celorlalti. Sunt umbra care nu vorbeste, sunt umbra care doar zambeste. In linistea lumii mele de umbre, vorba e doar zgomot, zambetul inseamna lumina. Si mai inseamna sa vorbesti tacand, fara sa tulburi linistea umbrelor ce te-nconjoara.
10 [EN]
I am the shadow of the shadow of man. The one you do not see but behold when you pause for a moment and look closer. I am the shadow that dwells in the shadow, shading with my shadow the shadows of others. I am the shadow that does not speak, the shadow that only smiles. In the silence of my shadow world, words are mere noise, smiles mean light. And it means speaking while silent, without disturbing the peace of the shadows that surround you.
Even though we may not always recognize them, challenges are inevitable in life, each offering opportunities for growth and learning. While we cannot change or avoid them, we can equip ourselves with strategies to navigate through them.
These moments of sadness, anger, and happiness forge a subtle connection with the universe, serving as sources of inspiration, teachings, and wisdom.
I, too, have encountered these challenges, and what you will find below are reflections of those moments. I do not claim to be a poet; rather, I prefer to think of them as thoughts; whispers from ancient gods and shadows of my ancestors, crossing dimensions into our reality.
Enjoy.
01
A little bird perched on a branch, Just above my head. A blink, and it's gone.
02
The drumming rain. A mighty thunder. In the dark of night, A symphony.
03
Round light in the night, above. The howling wolf.
04
You see it, then it's gone. You think it, then it's none. A mind trick.
05
Above us all, a grey blanket spreads. The storm approaches.
06
Daily mud makes us forget the beauty of clear water.
07
Grey sky sheds tears of winter's magnitude. Peering through window glass, the water dances.
08
Fear. Above all, we fear meeting ourselves. We are all but fugitives. The more we run, the more we fear.
09
Sometimes we feel the urge to punch silence in the face.
10 [RO]
Sunt umbra omului din umbra. Cel pe care nu-l zaresti dar il vezi daca te opresti o clipa si privesti Mai de aproape. Sunt umbra care sta in umbra, umbrind cu umbra lui, umbrele celorlalti. Sunt umbra care nu vorbeste, sunt umbra care doar zambeste. In linistea lumii mele de umbre, vorba e doar zgomot, zambetul inseamna lumina. Si mai inseamna sa vorbesti tacand, fara sa tulburi linistea umbrelor ce te-nconjoara.
10 [EN]
I am the shadow of the shadow of man. The one you do not see but behold when you pause for a moment and look closer. I am the shadow that dwells in the shadow, shading with my shadow the shadows of others. I am the shadow that does not speak, the shadow that only smiles. In the silence of my shadow world, words are mere noise, smiles mean light. And it means speaking while silent, without disturbing the peace of the shadows that surround you.
Even though we may not always recognize them, challenges are inevitable in life, each offering opportunities for growth and learning. While we cannot change or avoid them, we can equip ourselves with strategies to navigate through them.
These moments of sadness, anger, and happiness forge a subtle connection with the universe, serving as sources of inspiration, teachings, and wisdom.
I, too, have encountered these challenges, and what you will find below are reflections of those moments. I do not claim to be a poet; rather, I prefer to think of them as thoughts; whispers from ancient gods and shadows of my ancestors, crossing dimensions into our reality.
Enjoy.
01
A little bird perched on a branch, Just above my head. A blink, and it's gone.
02
The drumming rain. A mighty thunder. In the dark of night, A symphony.
03
Round light in the night, above. The howling wolf.
04
You see it, then it's gone. You think it, then it's none. A mind trick.
05
Above us all, a grey blanket spreads. The storm approaches.
06
Daily mud makes us forget the beauty of clear water.
07
Grey sky sheds tears of winter's magnitude. Peering through window glass, the water dances.
08
Fear. Above all, we fear meeting ourselves. We are all but fugitives. The more we run, the more we fear.
09
Sometimes we feel the urge to punch silence in the face.
10 [RO]
Sunt umbra omului din umbra. Cel pe care nu-l zaresti dar il vezi daca te opresti o clipa si privesti Mai de aproape. Sunt umbra care sta in umbra, umbrind cu umbra lui, umbrele celorlalti. Sunt umbra care nu vorbeste, sunt umbra care doar zambeste. In linistea lumii mele de umbre, vorba e doar zgomot, zambetul inseamna lumina. Si mai inseamna sa vorbesti tacand, fara sa tulburi linistea umbrelor ce te-nconjoara.
10 [EN]
I am the shadow of the shadow of man. The one you do not see but behold when you pause for a moment and look closer. I am the shadow that dwells in the shadow, shading with my shadow the shadows of others. I am the shadow that does not speak, the shadow that only smiles. In the silence of my shadow world, words are mere noise, smiles mean light. And it means speaking while silent, without disturbing the peace of the shadows that surround you.
01
A little bird perched on a branch, Just above my head. A blink, and it's gone.
02
The drumming rain. A mighty thunder. In the dark of night, A symphony.
03
You see it, then it's gone. You think it, then it's none. A mind trick.
04 [RO]
Sunt umbra omului din umbra. Cel pe care nu-l zaresti dar il vezi daca te opresti o clipa si privesti Mai de aproape. Sunt umbra care sta in umbra, umbrind cu umbra lui, umbrele celorlalti. Sunt umbra care nu vorbeste, sunt umbra care doar zambeste. In linistea lumii mele de umbre, vorba e doar zgomot, zambetul inseamna lumina. Si mai inseamna sa vorbesti tacand, fara sa tulburi linistea umbrelor ce te-nconjoara.
04 [EN]
I am the shadow of the shadow of man. The one you do not see but behold when you pause for a moment and look closer. I am the shadow that dwells in the shadow, shading with my shadow the shadows of others. I am the shadow that does not speak, the shadow that only smiles. In the silence of my shadow world, words are mere noise, smiles mean light. And it means speaking while silent, without disturbing the peace of the shadows that surround you.
01
A little bird perched on a branch, Just above my head. A blink, and it's gone.
02
The drumming rain. A mighty thunder. In the dark of night, A symphony.
03
Round light in the night, above. The howling wolf.
04
You see it, then it's gone. You think it, then it's none. A mind trick.
05
Above us all, a grey blanket spreads. The storm approaches.
06
Daily mud makes us forget the beauty of clear water.
07
Grey sky sheds tears of winter's magnitude. Peering through window glass, the water dances.
08
Fear. Above all, we fear meeting ourselves. We are all but fugitives. The more we run, the more we fear.
09
Sometimes we feel the urge to punch silence in the face.
10 [RO]
Sunt umbra omului din umbra. Cel pe care nu-l zaresti dar il vezi daca te opresti o clipa si privesti Mai de aproape. Sunt umbra care sta in umbra, umbrind cu umbra lui, umbrele celorlalti. Sunt umbra care nu vorbeste, sunt umbra care doar zambeste. In linistea lumii mele de umbre, vorba e doar zgomot, zambetul inseamna lumina. Si mai inseamna sa vorbesti tacand, fara sa tulburi linistea umbrelor ce te-nconjoara.
10 [EN]
I am the shadow of the shadow of man. The one you do not see but behold when you pause for a moment and look closer. I am the shadow that dwells in the shadow, shading with my shadow the shadows of others. I am the shadow that does not speak, the shadow that only smiles. In the silence of my shadow world, words are mere noise, smiles mean light. And it means speaking while silent, without disturbing the peace of the shadows that surround you.
.
.
.
05 [RO]
A fi sau a nu fi... Aceasta-i intrebarea Ce si-o punea pisica Privind incuietoarea.
05 [EN]
To be or not to be...
That is the question the cat pondered while gazing at the latch.
06 [RO]
Felie de rotund pe cer In noaptea viselor tarzii, E Luna. Al nostru giuvaer Martor iubirilor pierzii. Un nor ce se pravale peste ea Acoperindu-i fata luminoasa, Vesteste zorile de zi Sfarsitul tesaturii de melasa.
06 [EN]
A slice of round in the sky In the late-night dreams, It's the Moon. Our jewel Witness to lost loves.
A cloud rolling over her Covering her luminous face, Signals the dawn The end of the molasses tapestry.
07 [RO]
"O, tu iubire a vietii mele!" Graia-nteleptul barcagiu In timp ce se-ntorcea acasa, Imbatranite-i lampe cu fitil.
07 [EN]
"Oh, you love of my life!" Spoke the wise boatman As he returned home, His aged lamps with wick.
08 [RO]
Sunt zenul fara de maestru Si sunt maestrul fara zen. Sunt si fractalul fara tinta, Si tinta fara de indemn. Sunt incalceala dintre vise, Si ordinea fara de sens. Sunt si frumosul, si uratul Toate invalmasite in consens...
08 [EN]
I am the Zen without a master And I am the master without Zen. I am the aimless fractal, And the aim without guidance. I am the tangle of dreams, And the order without sense. I am both the beautiful and the ugly All intertwined in consensus...
EUNIMUS, 2020.
11 [RO]
A fi sau a nu fi... Aceasta-i intrebarea Ce si-o punea pisica Privind incuietoarea.
11 [EN]
To be or not to be...
That is the question the cat pondered while gazing at the latch.
12 [RO]
Felie de rotund pe cer In noaptea viselor tarzii, E Luna. Al nostru giuvaer Martor iubirilor pierzii. Un nor ce se pravale peste ea Acoperindu-i fata luminoasa, Vesteste zorile de zi Sfarsitul tesaturii de melasa.
12 [EN]
A slice of round in the sky In the late-night dreams, It's the Moon. Our jewel Witness to lost loves.
A cloud rolling over her Covering her luminous face, Signals the dawn The end of the molasses tapestry.
13 [RO]
"O, tu iubire a vietii mele!" Graia-nteleptul barcagiu In timp ce se-ntorcea acasa, Imbatranite-i lampe cu fitil.
13 [EN]
"Oh, you love of my life!" Spoke the wise boatman As he returned home, His aged lamps with wick.
14 [RO]
Sunt zenul fara de maestru Si sunt maestrul fara zen. Sunt si fractalul fara tinta, Si tinta fara de indemn. Sunt incalceala dintre vise, Si ordinea fara de sens. Sunt si frumosul, si uratul Toate invalmasite in consens...
14 [EN]
I am the Zen without a master And I am the master without Zen. I am the aimless fractal, And the aim without guidance. I am the tangle of dreams, And the order without sense. I am both the beautiful and the ugly All intertwined in consensus...
EUNIMUS, 2020.
.
.
.
POSTED ON JUNE 2020

You are exactly
where you are
meant to be.
YOU ARE EXACTLY WHERE
YOU ARE MEANT TO BE
YOU ARE EXACTLY WHERE YOU MEANT O BE
YOU ARE EXACTLY WHERE YOU MEANT O BE
YOU ARE EXACTLY WHERE YOU MEANT O BE
Few thoughts about yoga.
Few thoughts about yoga.
Few thoughts about yoga.
Few thoughts about yoga.
Few thoughts about yoga.
"It's not about being good
at something. It's about being
good to yourself."
"It's not about being good at something. It's about being good to yourself."
"It's not about being good at something. It's about being good to yourself."
"It's not about being good at something. It's about being good to yourself."
"It's not about being good at something. It's about being good to yourself."
On a personal note, I am currently reflecting on how yoga has changed my life and I am eager to hear about other people's experiences with yoga as well.
I started practicing yoga three and a half years ago with the goal of (re)connecting with my body. At first, I watched yoga videos on YouTube, but it took some time before I fully embraced yoga as an indispensable part of my life. In the past 6 months, I have been exploring other aspects of yoga, including meditation. What I appreciate about yoga is its diversity; there are different styles of yoga to suit your personal needs, such as strong yoga, restorative yoga, or meditative yoga. Many of us have misconceptions about what yoga is.
What is yoga, exactly? It is a state of self-realization, and the practice itself helps us to experience this state. Through yoga, we learn to observe the fluctuations of our minds and move closer to the state of self-realization. Thank you, Barbara Dawson.
Namaste.
On a personal note, I am currently reflecting on how yoga has changed my life and I am eager to hear about other people's experiences with yoga as well.
I started practicing yoga three and a half years ago with the goal of (re)connecting with my body. At first, I watched yoga videos on YouTube, but it took some time before I fully embraced yoga as an indispensable part of my life. In the past 6 months, I have been exploring other aspects of yoga, including meditation. What I appreciate about yoga is its diversity; there are different styles of yoga to suit your personal needs, such as strong yoga, restorative yoga, or meditative yoga. Many of us have misconceptions about what yoga is.
What is yoga, exactly? It is a state of self-realization, and the practice itself helps us to experience this state. Through yoga, we learn to observe the fluctuations of our minds and move closer to the state of self-realization. Thank you, Barbara Dawson.
Namaste.
On a personal note, I am currently reflecting on how yoga has changed my life and I am eager to hear about other people's experiences with yoga as well.
I started practicing yoga three and a half years ago with the goal of (re)connecting with my body. At first, I watched yoga videos on YouTube, but it took some time before I fully embraced yoga as an indispensable part of my life. In the past 6 months, I have been exploring other aspects of yoga, including meditation. What I appreciate about yoga is its diversity; there are different styles of yoga to suit your personal needs, such as strong yoga, restorative yoga, or meditative yoga. Many of us have misconceptions about what yoga is.
What is yoga, exactly? It is a state of self-realization, and the practice itself helps us to experience this state. Through yoga, we learn to observe the fluctuations of our minds and move closer to the state of self-realization. Thank you, Barbara Dawson.
Namaste.
On a personal note, I am currently reflecting on how yoga has changed my life and I am eager to hear about other people's experiences with yoga as well.
I started practicing yoga three and a half years ago with the goal of (re)connecting with my body. At first, I watched yoga videos on YouTube, but it took some time before I fully embraced yoga as an indispensable part of my life. In the past 6 months, I have been exploring other aspects of yoga, including meditation. What I appreciate about yoga is its diversity; there are different styles of yoga to suit your personal needs, such as strong yoga, restorative yoga, or meditative yoga. Many of us have misconceptions about what yoga is.
What is yoga, exactly? It is a state of self-realization, and the practice itself helps us to experience this state. Through yoga, we learn to observe the fluctuations of our minds and move closer to the state of self-realization. Thank you, Barbara Dawson.
Namaste.
On a personal note, I am currently reflecting on how yoga has changed my life and I am eager to hear about other people's experiences with yoga as well.
I started practicing yoga three and a half years ago with the goal of (re)connecting with my body. At first, I watched yoga videos on YouTube, but it took some time before I fully embraced yoga as an indispensable part of my life. In the past 6 months, I have been exploring other aspects of yoga, including meditation. What I appreciate about yoga is its diversity; there are different styles of yoga to suit your personal needs, such as strong yoga, restorative yoga, or meditative yoga. Many of us have misconceptions about what yoga is.
What is yoga, exactly? It is a state of self-realization, and the practice itself helps us to experience this state. Through yoga, we learn to observe the fluctuations of our minds and move closer to the state of self-realization. Thank you, Barbara Dawson.
Namaste.
POSTED ON JUNE 2021

Japan Day 2021 -
Auckland,
New Zealand.
JAPAN DAY 2021
AUCKLAND, NEW ZEALAND
JAPAN DAY 2021
AUCKLAND, NEW ZEALAND
JAPAN DAY 2021
AUCKLAND, NEW ZEALAND
JAPAN DAY 2021
AUCKLAND, NEW ZEALAND
ASB Showgrounds • 217 Green Lane West • Epsom
ASB Showgrounds • 217 Green Lane West • Epsom
ASB Showgrounds •
217 Green Lane West • Epsom
ASB Showgrounds •
217 Green Lane West • Epsom
ASB Showgrounds •
217 Green Lane West • Epsom
The largest Japanese cultural
festival in New Zealand
The largest Japanese cultural festival in New Zealand
The largest Japanese cultural festival in New Zealand
The largest Japanese cultural festival in New Zealand
The largest Japanese cultural festival in New Zealand
Japan Day is the largest Japanese cultural festival in New Zealand, aiming to promote friendship and mutual understanding between New Zealand and Japan by sharing traditional and contemporary Japanese culture with local New Zealanders as well as Japanese people living in New Zealand.
It's a unique opportunity to explore and experience Japanese culture in one day, unlike any other event.
Hosted by the Japanese Society of Auckland Inc on Sunday 9 February from 10 am to 6 pm, the festival is co-hosted by the Consulate-General of Japan in Auckland.
On the stage, there will be Taiko drums, Yosakoi Dancers, Martial Arts performances, and this year, the festival has specially invited an awesome duo from Japan, Kenji x Keisho, the Taiko drum and Shamisen performers, in addition to the regular performers, such as the traditional Japanese dancer Rumi Sasaki.
After a year of intensive training, I had the privilege of being part of the Kumo performance team for the Japan Day Festival this year. The live experience was exciting, extremely intensive, and unique. I enjoyed the thrill before the performance and the connection with the audience. I would like to express my special thanks to my dear Kumo Family for this opportunity.
Japan Day is the largest Japanese cultural festival in New Zealand, aiming to promote friendship and mutual understanding between New Zealand and Japan by sharing traditional and contemporary Japanese culture with local New Zealanders as well as Japanese people living in New Zealand.
It's a unique opportunity to explore and experience Japanese culture in one day, unlike any other event.
Hosted by the Japanese Society of Auckland Inc on Sunday 9 February from 10 am to 6 pm, the festival is co-hosted by the Consulate-General of Japan in Auckland.
On the stage, there will be Taiko drums, Yosakoi Dancers, Martial Arts performances, and this year, the festival has specially invited an awesome duo from Japan, Kenji x Keisho, the Taiko drum and Shamisen performers, in addition to the regular performers, such as the traditional Japanese dancer Rumi Sasaki.
After a year of intensive training, I had the privilege of being part of the Kumo performance team for the Japan Day Festival this year. The live experience was exciting, extremely intensive, and unique. I enjoyed the thrill before the performance and the connection with the audience. I would like to express my special thanks to my dear Kumo Family for this opportunity.
Japan Day is the largest Japanese cultural festival in New Zealand, aiming to promote friendship and mutual understanding between New Zealand and Japan by sharing traditional and contemporary Japanese culture with local New Zealanders as well as Japanese people living in New Zealand.
It's a unique opportunity to explore and experience Japanese culture in one day, unlike any other event.
Hosted by the Japanese Society of Auckland Inc on Sunday 9 February from 10 am to 6 pm, the festival is co-hosted by the Consulate-General of Japan in Auckland.
On the stage, there will be Taiko drums, Yosakoi Dancers, Martial Arts performances, and this year, the festival has specially invited an awesome duo from Japan, Kenji x Keisho, the Taiko drum and Shamisen performers, in addition to the regular performers, such as the traditional Japanese dancer Rumi Sasaki.
After a year of intensive training, I had the privilege of being part of the Kumo performance team for the Japan Day Festival this year. The live experience was exciting, extremely intensive, and unique. I enjoyed the thrill before the performance and the connection with the audience. I would like to express my special thanks to my dear Kumo Family for this opportunity.
Japan Day is the largest Japanese cultural festival in New Zealand, aiming to promote friendship and mutual understanding between New Zealand and Japan by sharing traditional and contemporary Japanese culture with local New Zealanders as well as Japanese people living in New Zealand.
It's a unique opportunity to explore and experience Japanese culture in one day, unlike any other event.
Hosted by the Japanese Society of Auckland Inc on Sunday 9 February from 10 am to 6 pm, the festival is co-hosted by the Consulate-General of Japan in Auckland.
On the stage, there will be Taiko drums, Yosakoi Dancers, Martial Arts performances, and this year, the festival has specially invited an awesome duo from Japan, Kenji x Keisho, the Taiko drum and Shamisen performers, in addition to the regular performers, such as the traditional Japanese dancer Rumi Sasaki.
After a year of intensive training, I had the privilege of being part of the Kumo performance team for the Japan Day Festival this year. The live experience was exciting, extremely intensive, and unique. I enjoyed the thrill before the performance and the connection with the audience. I would like to express my special thanks to my dear Kumo Family for this opportunity.
Japan Day is the largest Japanese cultural festival in New Zealand, aiming to promote friendship and mutual understanding between New Zealand and Japan by sharing traditional and contemporary Japanese culture with local New Zealanders as well as Japanese people living in New Zealand.
It's a unique opportunity to explore and experience Japanese culture in one day, unlike any other event.
Hosted by the Japanese Society of Auckland Inc on Sunday 9 February from 10 am to 6 pm, the festival is co-hosted by the Consulate-General of Japan in Auckland.
On the stage, there will be Taiko drums, Yosakoi Dancers, Martial Arts performances, and this year, the festival has specially invited an awesome duo from Japan, Kenji x Keisho, the Taiko drum and Shamisen performers, in addition to the regular performers, such as the traditional Japanese dancer Rumi Sasaki.
After a year of intensive training, I had the privilege of being part of the Kumo performance team for the Japan Day Festival this year. The live experience was exciting, extremely intensive, and unique. I enjoyed the thrill before the performance and the connection with the audience. I would like to express my special thanks to my dear Kumo Family for this opportunity.

Having fun with a temporary self-drawn tatoo for this occasion...

Jane helping me with the uniform. I can't remember what she was saying to me, but it must have been funny.

Our tradition of pulling crazy faces and postures at the usual photoshoot after a performance.
POSTED ON NOVEMBER 2019

Don-tsuku,
don-don...
DON-TSUKU, DON-DON
DON-TSUKU, DON-DON
DON-TSUKU, DON-DON
DON-TSUKU, DON-DON
It's a very primitive way of drumming, like the way you play with big sticks.
This is called taiko. That was a big influence on me.
It's a very primitive way of drumming, like the way you play with big sticks.
This is called taiko. That was a big influence on me.
It's a very primitive way of drumming, like the
way you play with big sticks. This is called taiko.
That was a big influence on me.
It's a very primitive way of drumming, like the
way you play with big sticks. This is called taiko.
That was a big influence on me.
It's a very primitive way of drumming, like the
way you play with big sticks. This is called taiko.
That was a big influence on me.
If the deep sound and rhythms of the traditional Japanese taiko drums have always spoken to you, why not try your hand at taiko drumming with a dynamic class?
If the deep sound and rhythms of the traditional Japanese taiko drums have always spoken to you, why not try your hand at taiko drumming with a dynamic class?
If the deep sound and rhythms of the traditional Japanese taiko drums have always spoken to you, why not try your hand at taiko drumming with a dynamic class?
If the deep sound and rhythms of the traditional Japanese taiko drums have always spoken to you, why not try your hand at taiko drumming with a dynamic class?
If the deep sound and rhythms of the traditional Japanese taiko drums have always spoken to you, why not try your hand at taiko drumming with a dynamic class?
Most recently, I embarked on a new and exciting journey, driven by the same desire to discover myself and have some fun along the way.
Taiko is an ancient Japanese form of percussion that utilizes large drums. In taiko drumming, the performers don't simply use the drum as an instrument; they aim to form a connection between themselves and the drum. The art becomes a part of their personality, a way of being, and an expression of life.
The word "taiko" is used to refer to any Japanese drum, as well as to a specific form of ensemble drumming. Taiko performance combines many components, including technical rhythm, stance, synchronized movement, and carefully choreographed presentation. It is dynamic and powerful, yet graceful to watch.
Kumo (雲) in Japanese means "cloud" and is taken from the Japanese phrase "kōun ryūsui" (行雲流水) in full, which translates to "To drift like clouds and flow like water." The phrase is often linked with Buddhism and means "to take things as they come."
Thank you, Jane and Jean! Arigato gozaimashita.
Most recently, I embarked on a new and exciting journey, driven by the same desire to discover myself and have some fun along the way.
Taiko is an ancient Japanese form of percussion that utilizes large drums. In taiko drumming, the performers don't simply use the drum as an instrument; they aim to form a connection between themselves and the drum. The art becomes a part of their personality, a way of being, and an expression of life.
The word "taiko" is used to refer to any Japanese drum, as well as to a specific form of ensemble drumming. Taiko performance combines many components, including technical rhythm, stance, synchronized movement, and carefully choreographed presentation. It is dynamic and powerful, yet graceful to watch.
Kumo (雲) in Japanese means "cloud" and is taken from the Japanese phrase "kōun ryūsui" (行雲流水) in full, which translates to "To drift like clouds and flow like water." The phrase is often linked with Buddhism and means "to take things as they come."
Thank you, Jane and Jean! Arigato gozaimashita.
So, reputation - that's the front-row seat people get to your life. The cool stuff you willingly share, the moments when you know eyes are on you. It's the curated version of your story, the one you want the world to see. Now, let's talk about character – the raw, unfiltered essence of who you are, away from the spotlight.
Think about that friend who's always got a smile, a helping hand, and a heart full of good vibes. Now, what if I told you that's not just for show? Nope, that's them 24/7. It's the late-night kindness, the thoughtful decisions, and the small acts of love when there's no audience. That's where character shines.
These moments? They're like the secret chapters of your life story, the ones only you get to read. It's the real you, unscripted and unfiltered. It's not about applause or recognition; it's about aligning your actions with your truest self when the world isn't watching.
In a world that sometimes feels like a stage, these are the unsung heroes. They're not just talking about values; they're living them in the quiet corners of their lives. It's a journey of self-discovery and authenticity, embracing the uncharted territories of your soul.
So here's to those silent architects of character, crafting the unseen masterpieces of goodness. They're not seeking validation; they're navigating the quiet dance between reputation and character. Let's all take a moment to reflect on our own unseen acts, the ones that shape the truest version of ourselves. After all, it's in the shadows where the most authentic stories unfold.
So, reputation - that's the front-row seat people get to your life. The cool stuff you willingly share, the moments when you know eyes are on you. It's the curated version of your story, the one you want the world to see. Now, let's talk about character – the raw, unfiltered essence of who you are, away from the spotlight.
Think about that friend who's always got a smile, a helping hand, and a heart full of good vibes. Now, what if I told you that's not just for show? Nope, that's them 24/7. It's the late-night kindness, the thoughtful decisions, and the small acts of love when there's no audience. That's where character shines.
These moments? They're like the secret chapters of your life story, the ones only you get to read. It's the real you, unscripted and unfiltered. It's not about applause or recognition; it's about aligning your actions with your truest self when the world isn't watching.
In a world that sometimes feels like a stage, these are the unsung heroes. They're not just talking about values; they're living them in the quiet corners of their lives. It's a journey of self-discovery and authenticity, embracing the uncharted territories of your soul.
So here's to those silent architects of character, crafting the unseen masterpieces of goodness. They're not seeking validation; they're navigating the quiet dance between reputation and character. Let's all take a moment to reflect on our own unseen acts, the ones that shape the truest version of ourselves. After all, it's in the shadows where the most authentic stories unfold.
So, reputation - that's the front-row seat people get to your life. The cool stuff you willingly share, the moments when you know eyes are on you. It's the curated version of your story, the one you want the world to see. Now, let's talk about character – the raw, unfiltered essence of who you are, away from the spotlight.
Think about that friend who's always got a smile, a helping hand, and a heart full of good vibes. Now, what if I told you that's not just for show? Nope, that's them 24/7. It's the late-night kindness, the thoughtful decisions, and the small acts of love when there's no audience. That's where character shines.
These moments? They're like the secret chapters of your life story, the ones only you get to read. It's the real you, unscripted and unfiltered. It's not about applause or recognition; it's about aligning your actions with your truest self when the world isn't watching.
In a world that sometimes feels like a stage, these are the unsung heroes. They're not just talking about values; they're living them in the quiet corners of their lives. It's a journey of self-discovery and authenticity, embracing the uncharted territories of your soul.
So here's to those silent architects of character, crafting the unseen masterpieces of goodness. They're not seeking validation; they're navigating the quiet dance between reputation and character. Let's all take a moment to reflect on our own unseen acts, the ones that shape the truest version of ourselves. After all, it's in the shadows where the most authentic stories unfold.
POSTED ON AUGUST 2019

Love for Haiku
LOVE FOR HAIKU
LOVE FOR HAIKU
LOVE FOR HAIKU
LOVE FOR HAIKU
Matsuo Basho (1644 - 1694) was recognized during his lifetime for his
works in the collaborative haikai no renga form. Today, after centuries of
commentary, he is acknowledged as the greatest master of haiku.
Matsuo Basho (1644 - 1694) was recognized during his lifetime for his
works in the collaborative haikai no renga form. Today, after centuries of
commentary, he is acknowledged as the greatest master of haiku.
Matsuo Basho (1644 - 1694) was recognized during his lifetime for his works in the collaborative haikai no renga form. Today, after centuries of commentary, he is acknowledged as the greatest master of haiku.
Matsuo Basho (1644 - 1694) was recognized during his lifetime for his works in the collaborative haikai no renga form. Today, after centuries of commentary, he is acknowledged as the greatest master of haiku.
Matsuo Basho (1644 - 1694) was recognized during his lifetime for his works in the collaborative haikai no renga form. Today, after centuries of commentary, he is acknowledged as the greatest master of haiku.
Clouds come from time to time,
bringing men a chance to rest from
looking at the moon...
If the deep sound and rhythms of the traditional Japanese taiko drums have always spoken to you, why not try your hand at taiko drumming with a dynamic class?
If the deep sound and rhythms of the traditional Japanese taiko drums have always spoken to you, why not try your hand at taiko drumming with a dynamic class?
If the deep sound and rhythms of the traditional Japanese taiko drums have always spoken to you, why not try your hand at taiko drumming with a dynamic class?
If the deep sound and rhythms of the traditional Japanese taiko drums have always spoken to you, why not try your hand at taiko drumming with a dynamic class?
What teaches us is that there will be times when things don't turn out as great as we want them to. There will be bad days or sad times where we can't do anything about it except let it happen. Just like the bad times, there will also be good days. The bad times help us appreciate what it's like to be happy.
A haiku is traditionally a Japanese poem consisting of three short lines that do not rhyme. The origins of haiku poems can be traced back as far as the 9th century. A haiku is considered to be more than a type of poem; it is a way of looking at the physical world and seeing something deeper, like the very nature of existence. It should leave the reader with a strong feeling or impression. Take a look at the following examples of traditional and modern haiku poems to see what we mean.
Here are three examples of haiku poems from Matsuo Basho (1644-1694), considered the greatest haiku poet:
Here are seven examples of 20th-century haiku poems:
From across the lake,
Past the black winter trees,
Faint sounds of a flute.
_Richard Wright
Lily: out of the water out of itself.
_Nick Virgilio
Ground squirrel balancing its tomato on the garden fence.
_Don Eulert
Nightfall, Too dark to read the page Too cold.
_Jack Kerouac
Isn't it wonderful to know that such a rich tradition has lasted the test of time? The evolution of haiku might be perceived as a natural process, like anything else in life, but a dedication to its authenticity has preserved its core principles.
While master poets in the 1800s, such as Issa, wrote their haiku in the traditional 5-7-5 pattern - if read in Japanese - the premise was still the same as it is today. These master poets contemplated small snippets of time, used imagery in their language, and sought out a sense of enlightenment in their prose.
What teaches us is that there will be times when things don't turn out as great as we want them to. There will be bad days or sad times where we can't do anything about it except let it happen. Just like the bad times, there will also be good days. The bad times help us appreciate what it's like to be happy.
A haiku is traditionally a Japanese poem consisting of three short lines that do not rhyme. The origins of haiku poems can be traced back as far as the 9th century. A haiku is considered to be more than a type of poem; it is a way of looking at the physical world and seeing something deeper, like the very nature of existence. It should leave the reader with a strong feeling or impression. Take a look at the following examples of traditional and modern haiku poems to see what we mean.
Here are three examples of haiku poems from Matsuo Basho (1644-1694), considered the greatest haiku poet:
Here are seven examples of 20th-century haiku poems:
From across the lake,
Past the black winter trees,
Faint sounds of a flute.
_Richard Wright
Lily: out of the water out of itself.
_Nick Virgilio
Ground squirrel balancing its tomato on the garden fence.
_Don Eulert
Nightfall, Too dark to read the page Too cold.
_Jack Kerouac
Isn't it wonderful to know that such a rich tradition has lasted the test of time? The evolution of haiku might be perceived as a natural process, like anything else in life, but a dedication to its authenticity has preserved its core principles.
While master poets in the 1800s, such as Issa, wrote their haiku in the traditional 5-7-5 pattern - if read in Japanese - the premise was still the same as it is today. These master poets contemplated small snippets of time, used imagery in their language, and sought out a sense of enlightenment in their prose.
What teaches us is that there will be times when things don't turn out as great as we want them to. There will be bad days or sad times where we can't do anything about it except let it happen. Just like the bad times, there will also be good days. The bad times help us appreciate what it's like to be happy.
A haiku is traditionally a Japanese poem consisting of three short lines that do not rhyme. The origins of haiku poems can be traced back as far as the 9th century. A haiku is considered to be more than a type of poem; it is a way of looking at the physical world and seeing something deeper, like the very nature of existence. It should leave the reader with a strong feeling or impression. Take a look at the following examples of traditional and modern haiku poems to see what we mean.
Here are three examples of haiku poems from Matsuo Basho (1644-1694), considered the greatest haiku poet:
Here are seven examples of 20th-century haiku poems:
From across the lake,
Past the black winter trees,
Faint sounds of a flute.
_Richard Wright
Lily: out of the water out of itself.
_Nick Virgilio
Ground squirrel balancing its tomato on the garden fence.
_Don Eulert
Nightfall, Too dark to read the page Too cold.
_Jack Kerouac
Isn't it wonderful to know that such a rich tradition has lasted the test of time? The evolution of haiku might be perceived as a natural process, like anything else in life, but a dedication to its authenticity has preserved its core principles.
While master poets in the 1800s, such as Issa, wrote their haiku in the traditional 5-7-5 pattern - if read in Japanese - the premise was still the same as it is today. These master poets contemplated small snippets of time, used imagery in their language, and sought out a sense of enlightenment in their prose.
What teaches us is that there will be times when things don't turn out as great as we want them to. There will be bad days or sad times where we can't do anything about it except let it happen. Just like the bad times, there will also be good days. The bad times help us appreciate what it's like to be happy.
A haiku is traditionally a Japanese poem consisting of three short lines that do not rhyme. The origins of haiku poems can be traced back as far as the 9th century. A haiku is considered to be more than a type of poem; it is a way of looking at the physical world and seeing something deeper, like the very nature of existence. It should leave the reader with a strong feeling or impression. Take a look at the following examples of traditional and modern haiku poems to see what we mean.
Here are three examples of haiku poems from Matsuo Basho (1644-1694), considered the greatest haiku poet:
Here are seven examples of 20th-century haiku poems:
From across the lake,
Past the black winter trees,
Faint sounds of a flute.
_Richard Wright
Lily: out of the water out of itself.
_Nick Virgilio
Ground squirrel balancing its tomato on the garden fence.
_Don Eulert
Nightfall, Too dark to read the page Too cold.
_Jack Kerouac
Isn't it wonderful to know that such a rich tradition has lasted the test of time? The evolution of haiku might be perceived as a natural process, like anything else in life, but a dedication to its authenticity has preserved its core principles.
While master poets in the 1800s, such as Issa, wrote their haiku in the traditional 5-7-5 pattern - if read in Japanese - the premise was still the same as it is today. These master poets contemplated small snippets of time, used imagery in their language, and sought out a sense of enlightenment in their prose.
What teaches us is that there will be times when things don't turn out as great as we want them to. There will be bad days or sad times where we can't do anything about it except let it happen. Just like the bad times, there will also be good days. The bad times help us appreciate what it's like to be happy.
A haiku is traditionally a Japanese poem consisting of three short lines that do not rhyme. The origins of haiku poems can be traced back as far as the 9th century. A haiku is considered to be more than a type of poem; it is a way of looking at the physical world and seeing something deeper, like the very nature of existence. It should leave the reader with a strong feeling or impression. Take a look at the following examples of traditional and modern haiku poems to see what we mean.
Here are three examples of haiku poems from Matsuo Basho (1644-1694), considered the greatest haiku poet:
Here are seven examples of 20th-century haiku poems:
From across the lake,
Past the black winter trees,
Faint sounds of a flute.
_Richard Wright
Lily: out of the water out of itself.
_Nick Virgilio
Ground squirrel balancing its tomato on the garden fence.
_Don Eulert
Nightfall, Too dark to read the page Too cold.
_Jack Kerouac
Isn't it wonderful to know that such a rich tradition has lasted the test of time? The evolution of haiku might be perceived as a natural process, like anything else in life, but a dedication to its authenticity has preserved its core principles.
While master poets in the 1800s, such as Issa, wrote their haiku in the traditional 5-7-5 pattern - if read in Japanese - the premise was still the same as it is today. These master poets contemplated small snippets of time, used imagery in their language, and sought out a sense of enlightenment in their prose.
THANK YOU FOR READING.